Kleinhirnabszess
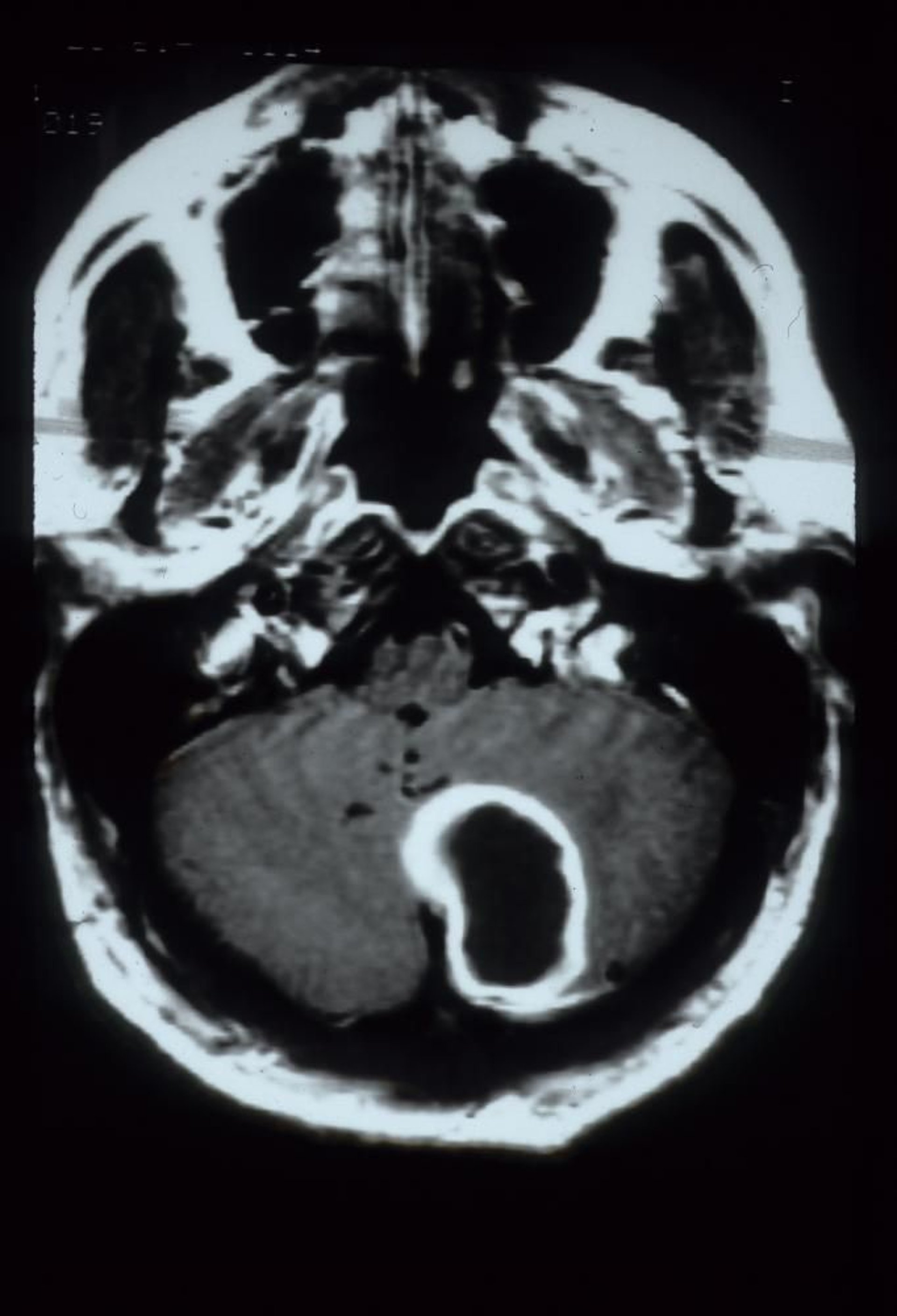
Diese gadoliniumverstärkte MRT-Aufnahme zeigt einen Kleinhirnabszess, der als große, randverstärkte kavitäre Läsion in der linken Kleinhirnhemisphäre erscheint.
Courtesy of John E. Greenlee, MD.
In diesen Themen
Diese gadoliniumverstärkte MRT-Aufnahme zeigt einen Kleinhirnabszess, der als große, randverstärkte kavitäre Läsion in der linken Kleinhirnhemisphäre erscheint.
Courtesy of John E. Greenlee, MD.