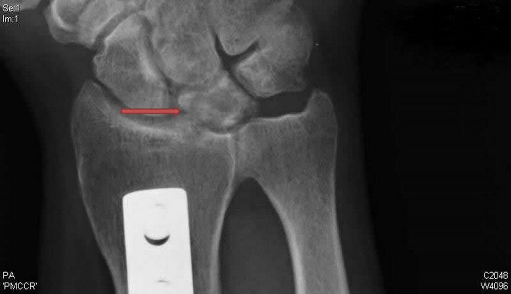
Kienböck-Krankheit (posteroanteriore Röntgenaufnahme)
Diese posteroanteriore Röntgenaufnahme des rechten Handgelenks zeigt Zysten und Sklerose des Os lunatum (Pfeil), die typisch für die Kienböck-Krankheit sind. Die Metallplatte ist ein Beweis für eine radiale Verkürzungsosteotomie, die in dem Bemühen durchgeführt wurde, das Lunatum zu entlasten und diesen Zustand möglicherweise zu behandeln.
X-ray courtesy of David R. Steinberg, MD.
In diesen Themen
