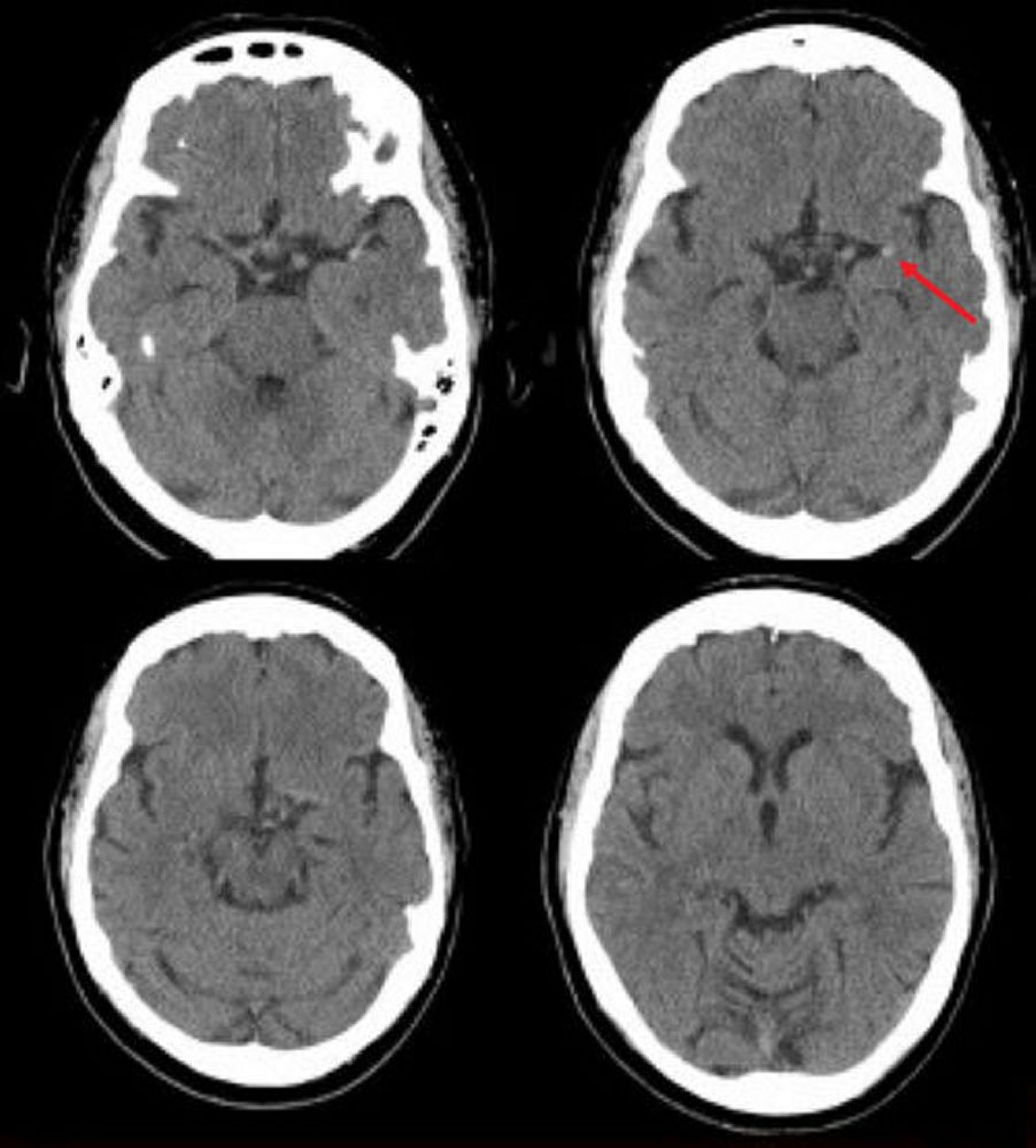
Ischämischer Schlaganfall in der linken mittleren Hirnarterie (CT)
Diese nicht kontrastverstärkte CT-Aufnahme des Schädels zeigt eine hyperdense linke mittlere Hirnarterie. Dieser Befund weist auf ein fokales Gerinnsel in der linken mittleren Hirnarterie hin (Pfeil).
Image courtesy of Ji Y. Chong, MD.
In diesen Themen
