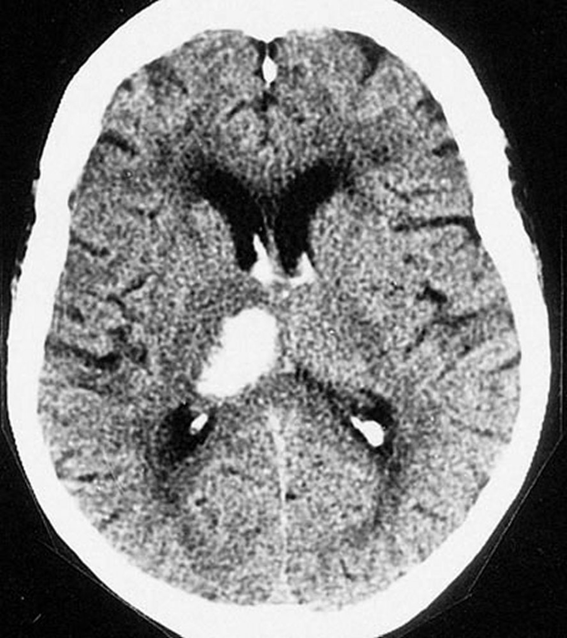
Intrazerebrale Thalamusblutung
Diese CT-Aufnahme zeigt eine Blutung im Thalamus. Intrazerebrale Blutungen treten am häufigsten im Thalamus und in den Basalganglien auf.
By permission of the publisher. From Furie K, et al. In Atlas of Clinical Neurology. Edited by RN Rosenberg. Philadelphia, Current Medicine, 2002.
In diesen Themen
