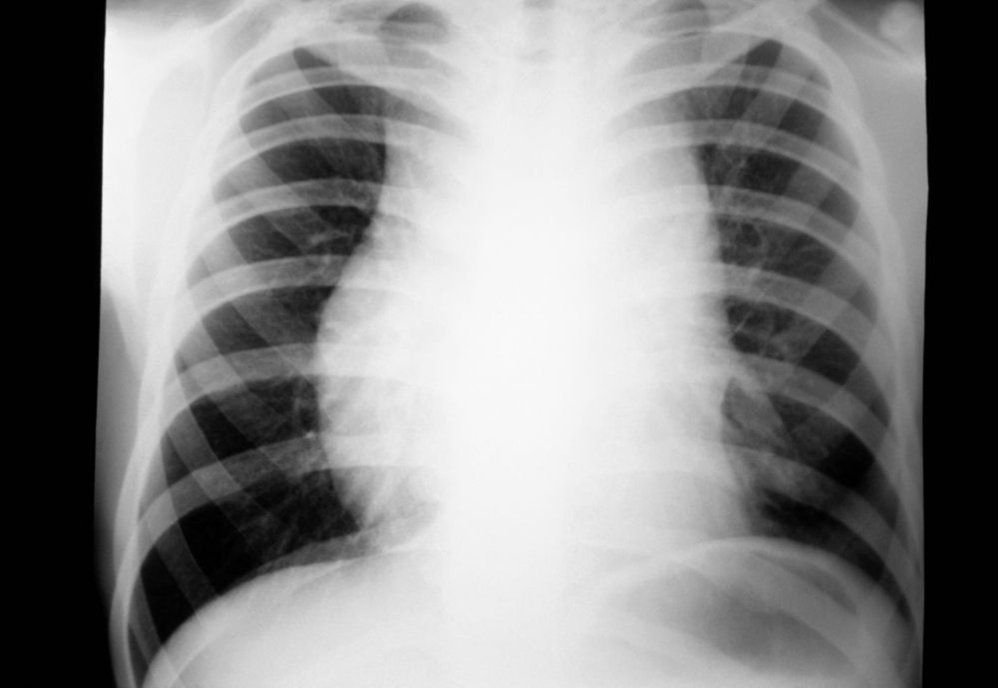
Hodgkin-Lymphom (mediastinale Lymphadenopathie)
Röntgenthorax eines Patienten mit Hodgkin-Lymphom mit mediastinaler Lymphadenopathie.
DR P. MARAZZI/SCIENCE PHOTO LIBRARY
In diesen Themen
Röntgenthorax eines Patienten mit Hodgkin-Lymphom mit mediastinaler Lymphadenopathie.
DR P. MARAZZI/SCIENCE PHOTO LIBRARY