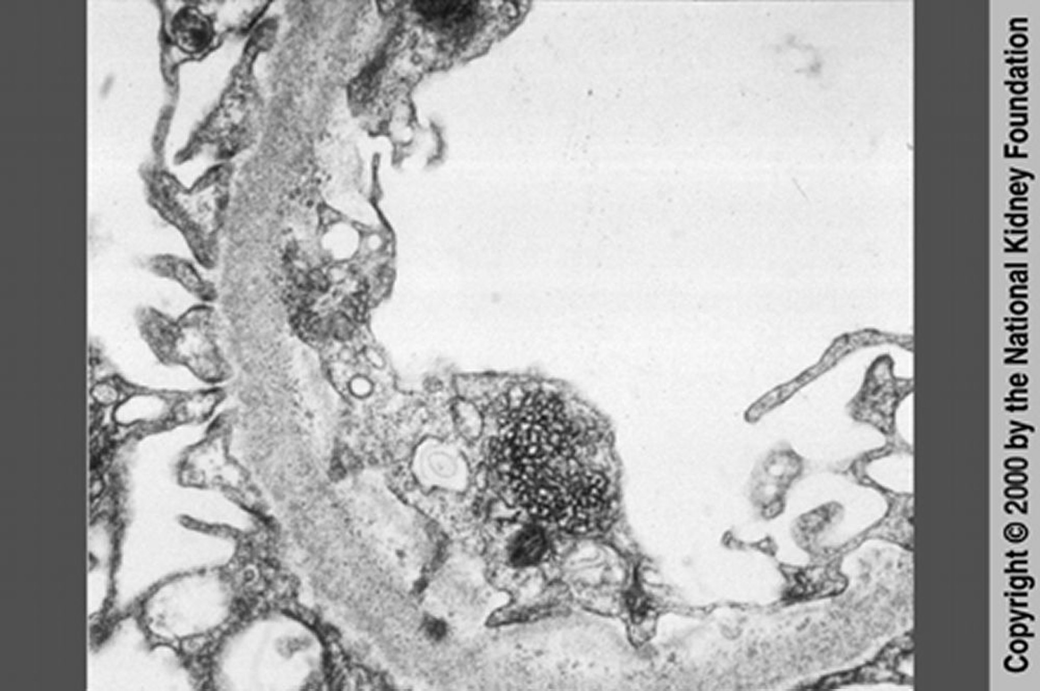
HIV-assoziierte Nephropathie (retikuläre Einschlüsse)
Eine HIV-assoziierte Nephropathie kann durch retikuläre Einschlüsse im Zytoplasma von Endothelzellen in der Transmissionselektronenmikroskopie von fokal-segmentaler Glomerulosklerose unterschieden werden (×20.000). Diese retikulären Einschlüsse sind jedoch dank der hochaktiven antiretroviralen Therapie selten geworden.
Image provided by Agnes Fogo, MD, and the American Journal of Kidney Diseases' Atlas of Renal Pathology (see www.ajkd.org).
In diesen Themen
