Herz-CT-Angiogramm
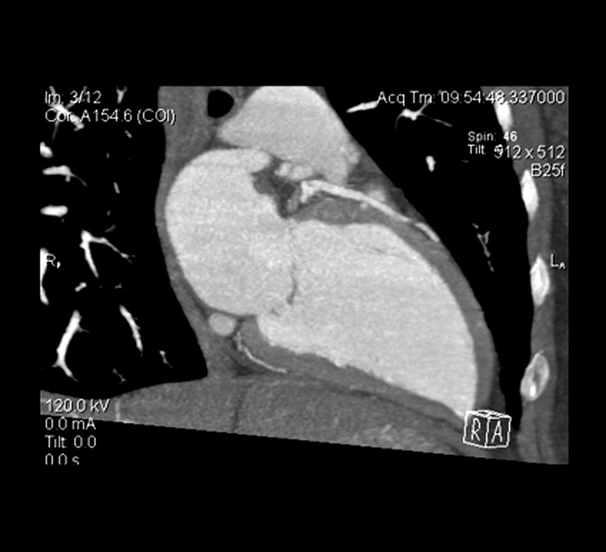
Die Querschnittsansicht eines Herz-CT-Angiogramms zeigt den linken Ventrikel und die linke absteigende Arterie.
LIVING ART ENTERPRISES, LLC/SCIENCE PHOTO LIBRARY
In diesen Themen
Die Querschnittsansicht eines Herz-CT-Angiogramms zeigt den linken Ventrikel und die linke absteigende Arterie.
LIVING ART ENTERPRISES, LLC/SCIENCE PHOTO LIBRARY