Hämatothorax
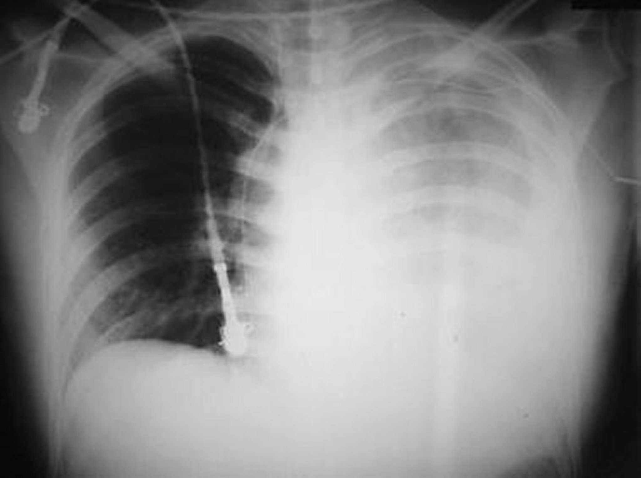
Dieses Foto zeigt einen massiven linken Hämothorax nach einer Schussverletzung in der linken Brust.
© Springer Science+Business Media
In diesen Themen
Dieses Foto zeigt einen massiven linken Hämothorax nach einer Schussverletzung in der linken Brust.
© Springer Science+Business Media