honeypot link
skip to main content
Fachkreise
Patient
Msd Manual
Ausgabe für medizinische Fachkreise
MEDIZINISCHE THEMEN
RESSOURCEN
KOMMENTAR
VERFAHREN U. UNTERSUCHUNGEN
QUIZFRAGEN
ÜBER
MEDIZINISCHE THEMEN
RESSOURCEN
<
Bilder
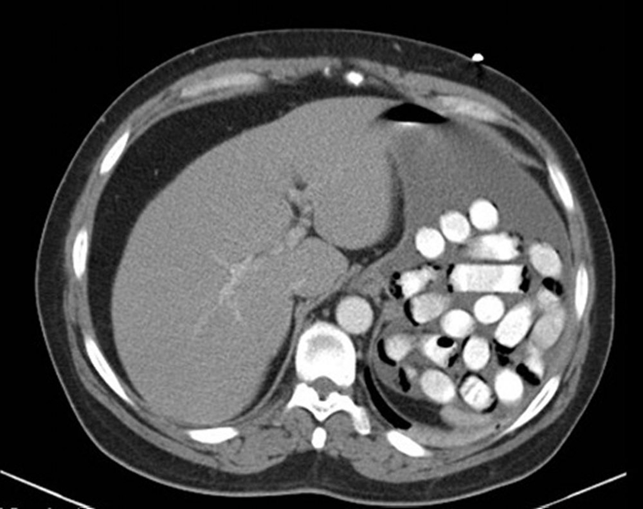
Fremdkörper im Magen (CT)
Dieses Bild zeigt Drogenpäckchen im Magen.
Abbildung zur Verfügung gestellt von Alan Gingold, DO.
In diesen Themen
Fremdkörper im Magen und Darm
>