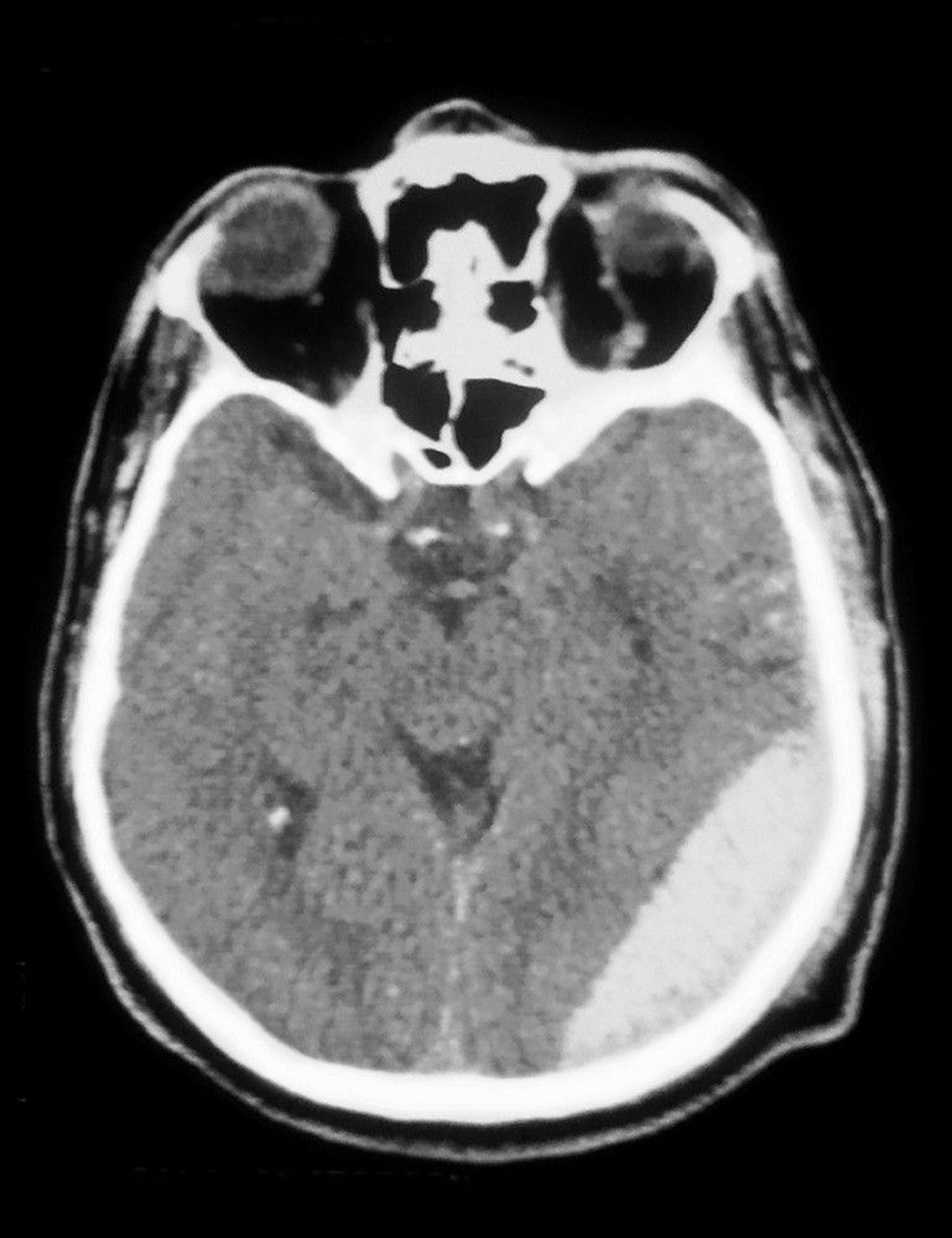
Epiduralhämatom
Die CT-Aufnahme zeigt ein epidurales Hämatom (Trübung unten rechts).
Cavallini James/BSIP/SCIENCE PHOTO LIBRARY
In diesen Themen
Die CT-Aufnahme zeigt ein epidurales Hämatom (Trübung unten rechts).
Cavallini James/BSIP/SCIENCE PHOTO LIBRARY