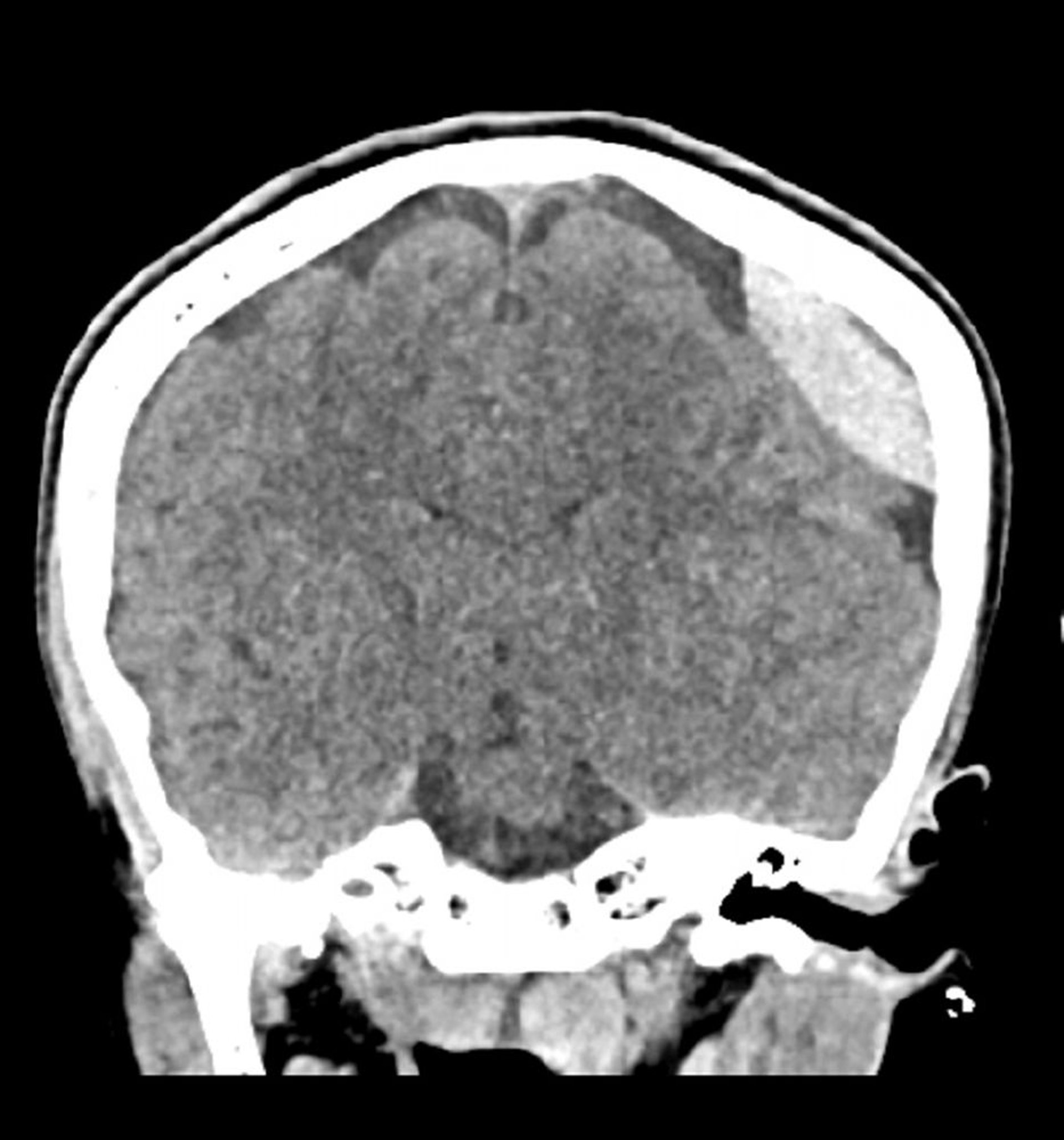
Epiduralblutung (Koronale CT)
Klassische linsenförmige (Linsen) -förmige Hyperdichte, die sich nicht über die Nahtlinien erstreckt.
© 2017 Elliot K. Fishman, MD.
Klassische linsenförmige (Linsen) -förmige Hyperdichte, die sich nicht über die Nahtlinien erstreckt.
© 2017 Elliot K. Fishman, MD.