Einkammerige Knochenzyste
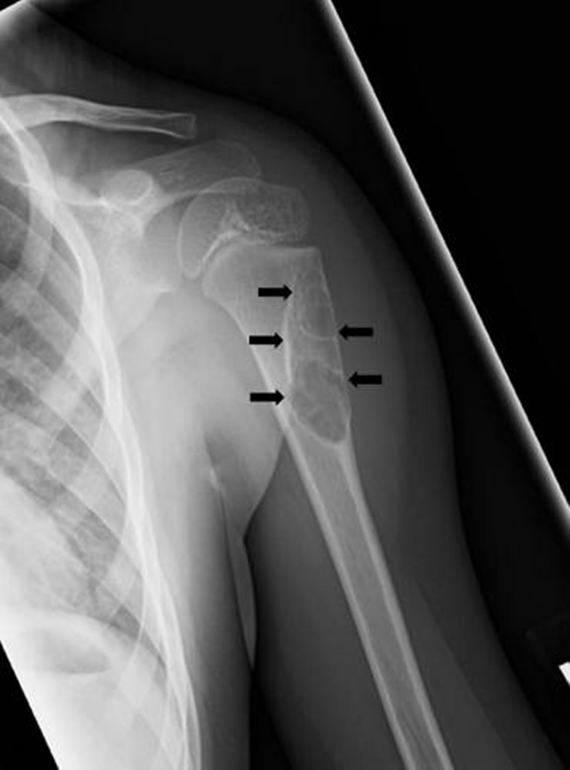
Diese Röntgenaufnahme zeigt eine zystische Läsion (Pfeile) des Humerus bei einem Kind, die mit einer einkammerigen Knochenzyste übereinstimmt.
Image courtesy of Michael J. Joyce, MD, and Hakan Ilaslan, MD.
In diesen Themen
Diese Röntgenaufnahme zeigt eine zystische Läsion (Pfeile) des Humerus bei einem Kind, die mit einer einkammerigen Knochenzyste übereinstimmt.
Image courtesy of Michael J. Joyce, MD, and Hakan Ilaslan, MD.