Divertikulitis (CT)
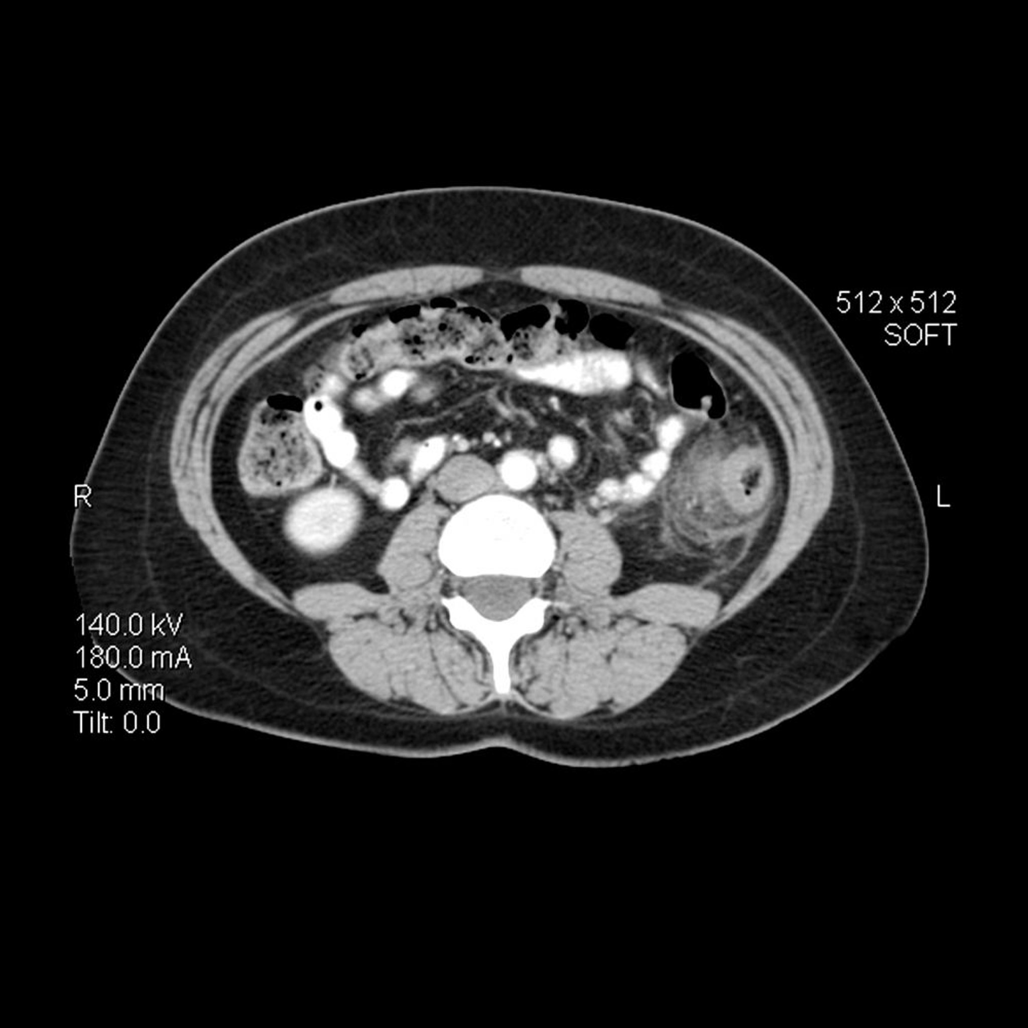
Bei diesem axialen (Querschnitts-) CT-Bild des Abdomens bei einer Person mit Divertikulitis ist die Wand des Colon descendens verdickt. Es gibt auch eine entzündliche Streifenbildung mit erhöhter Dichte in dem benachbarten Perikolonfett.
LIVING ART ENTERPRISES, LLC/SCIENCE PHOTO LIBRARY
In diesen Themen
