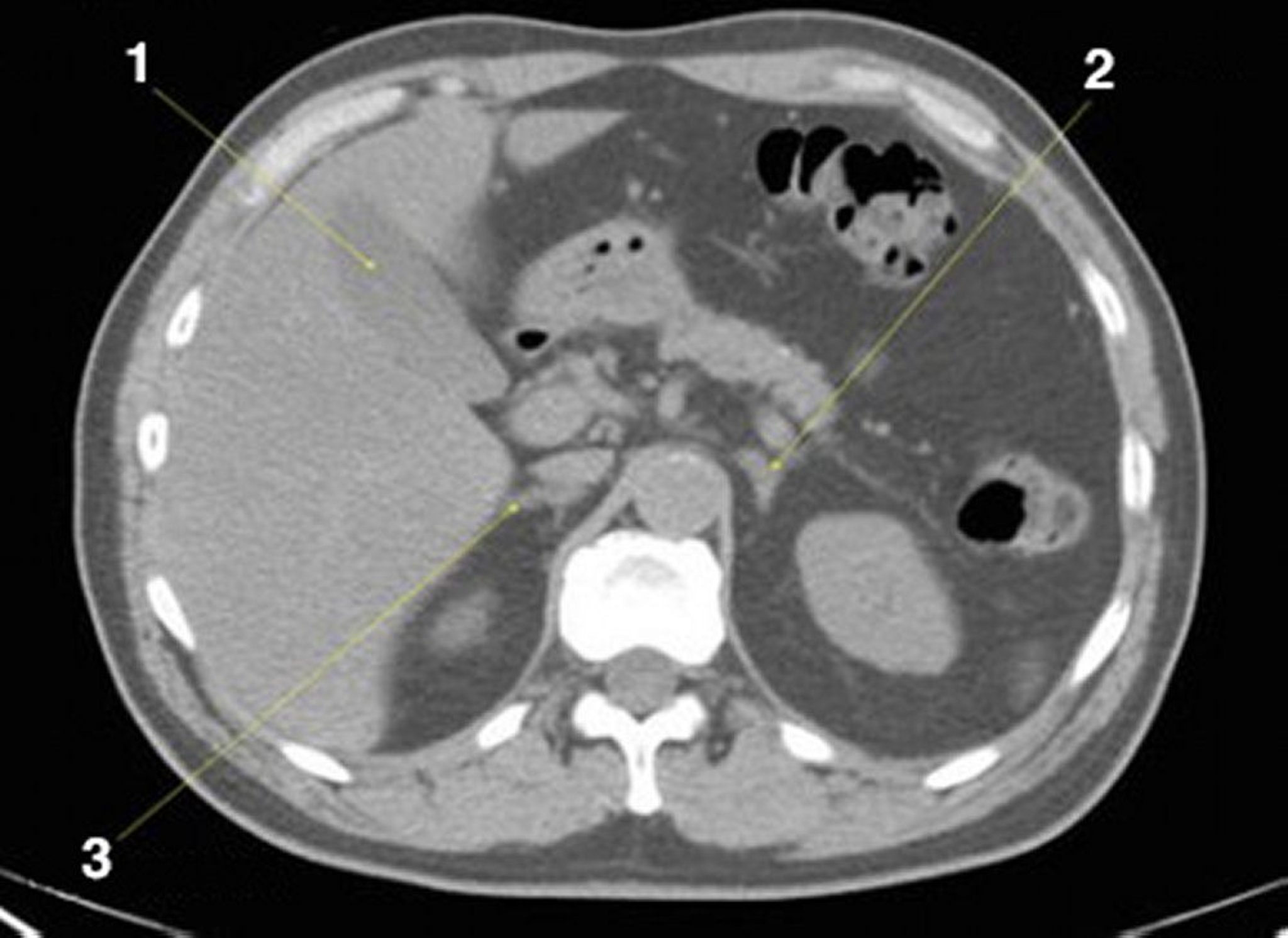
CT-Scan von Abdomen und Becken mit normaler Anatomie ohne Kontrastmittel (Folie 8)
1 = Gallenblase; 2 = linke Nebenniere; 3 = rechte Nebenniere.
© Springer Science+Business Media
In diesen Themen
1 = Gallenblase; 2 = linke Nebenniere; 3 = rechte Nebenniere.
© Springer Science+Business Media