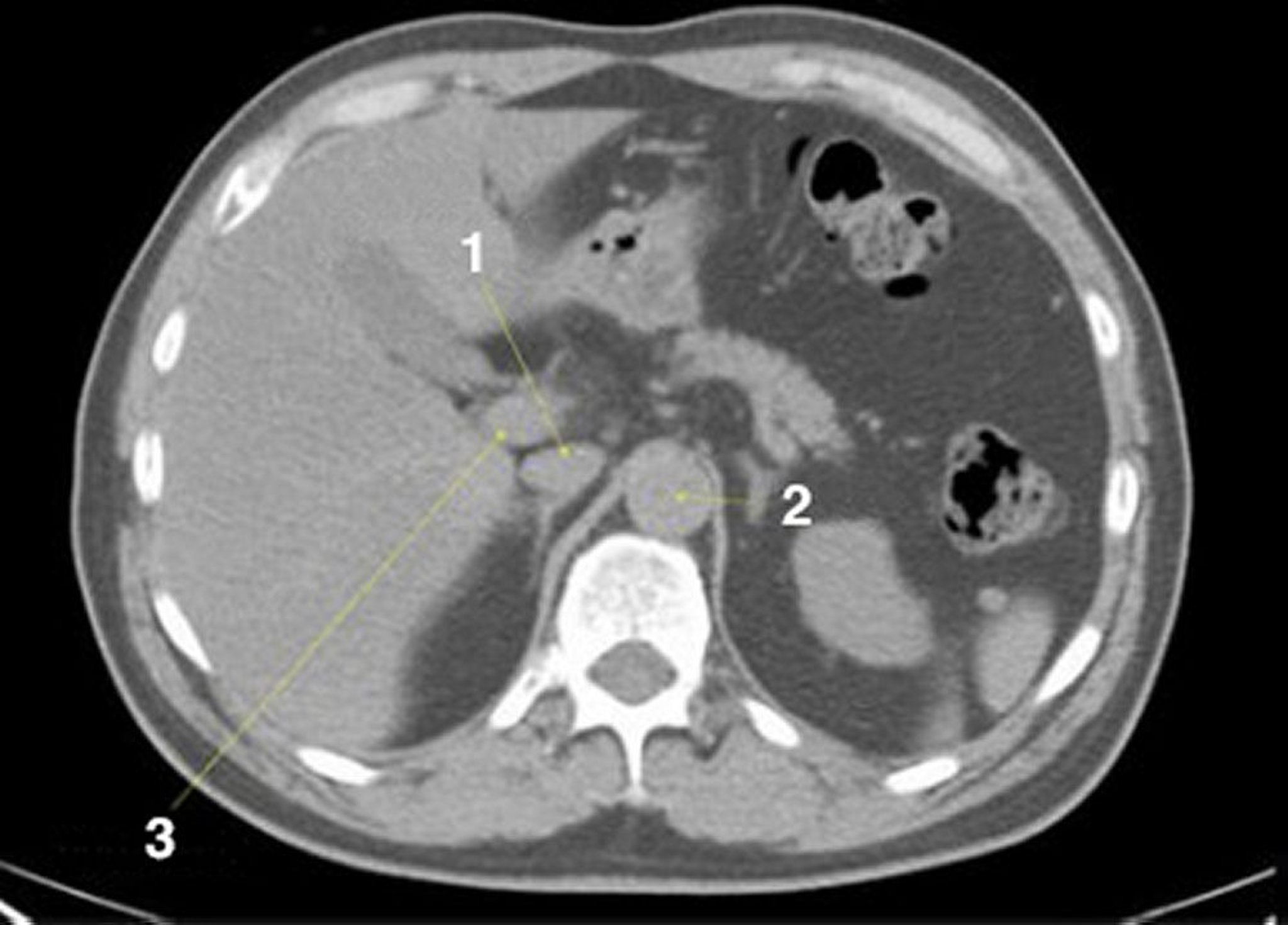
CT-Scan von Abdomen und Becken mit normaler Anatomie ohne Kontrastmittel (Folie 6)
1 = V. cava inferior; 2 = Aorta; 3 = Pfortader.
© Springer Science+Business Media
In diesen Themen
1 = V. cava inferior; 2 = Aorta; 3 = Pfortader.
© Springer Science+Business Media