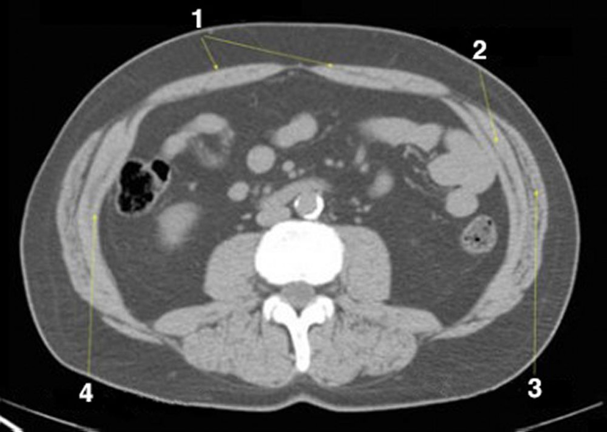
CT-Scan von Abdomen und Becken mit normaler Anatomie ohne Kontrastmittel (Folie 19)
1 = M. rectus abdominis; 2 = M. obliquus internus abdominis; 3 = M. obliquus externus abdominis; 4 = M. transversus abdominis.
© Springer Science+Business Media
In diesen Themen
