CT-Scan von Abdomen und Becken mit normaler Anatomie ohne Kontrastmittel (Folie 13)
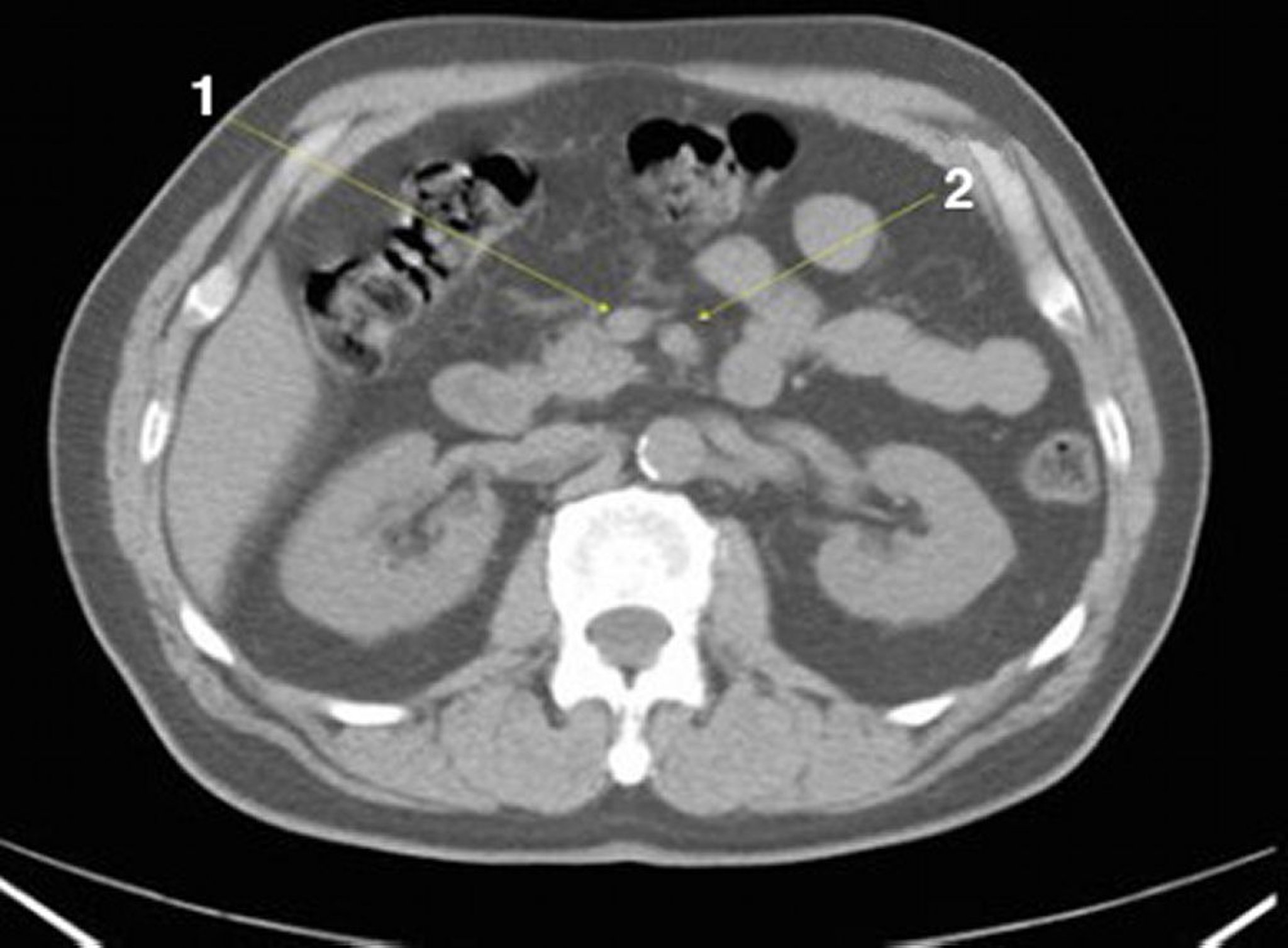
1 = V. mesenterica superior; 2 = A. mesenterica superior.
© Springer Science+Business Media
In diesen Themen
1 = V. mesenterica superior; 2 = A. mesenterica superior.
© Springer Science+Business Media