CT-Kontrastmitteluntersuchung der Niere (kortikomedulläre und nephrogene Phasen)
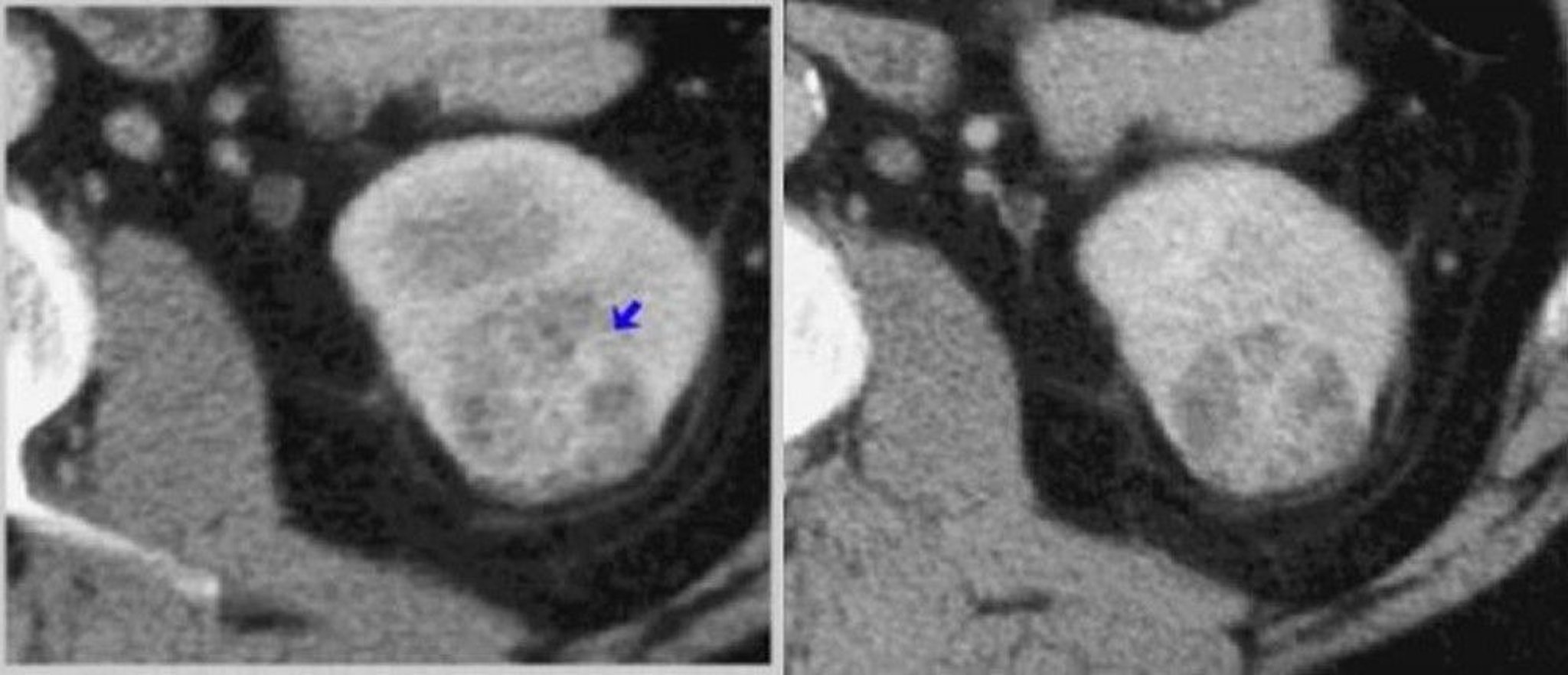
Links zeigt ein CT-Scan der kortikomedullären Phase einen heterogen verstärkten Tumor (Pfeil). Rechts ist der Tumor in einem nephrographischen Phasen-CT-Scan besser zu erkennen.
© Springer Science+Business Media
In diesen Themen
