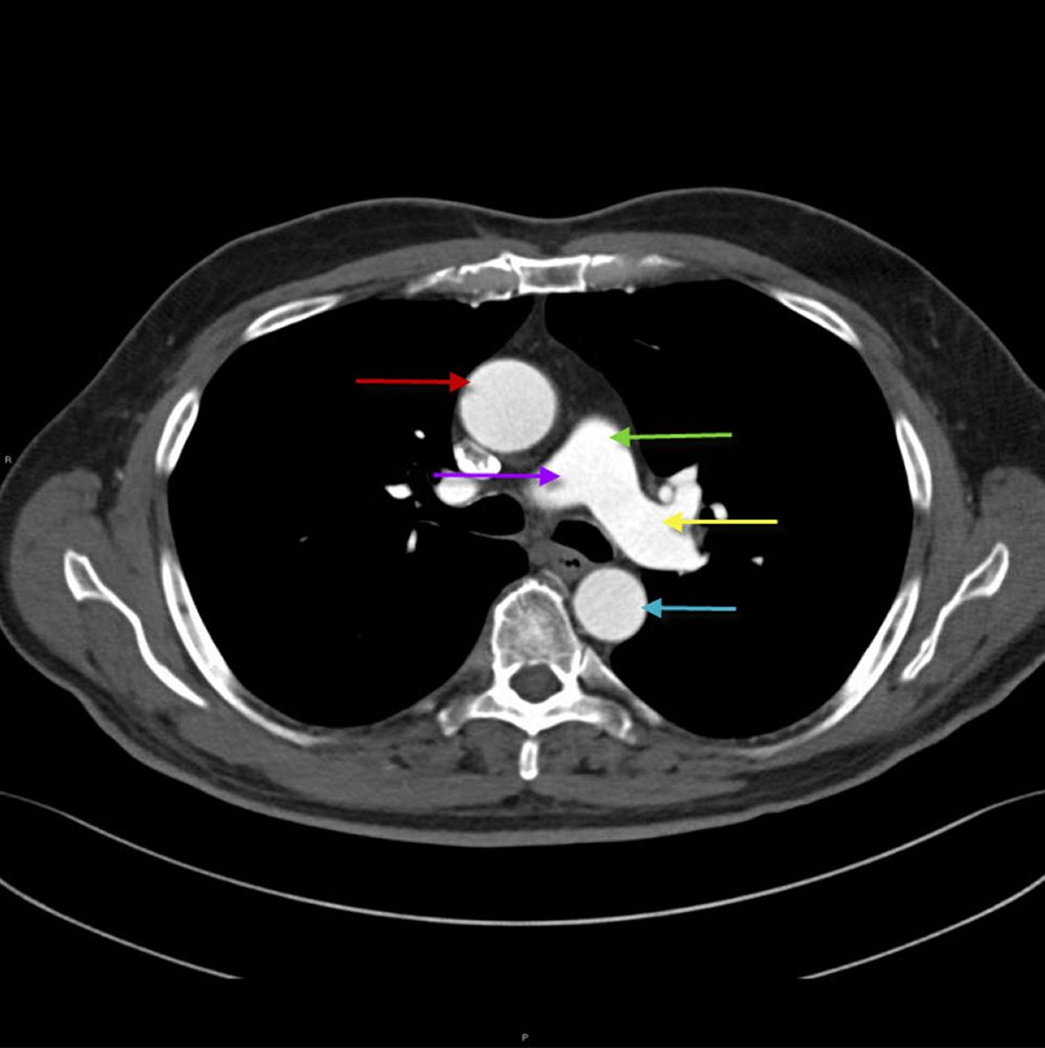
CT des Thorax mit Darstellung der Anatomie von Aorta und Pulmonalarterie
Dieses Bild zeigt die aufsteigende thorakale Aorta (roter Pfeil) mit absteigender thorakaler Aorta (blauer Pfeil). Die Hauptpulmonalarterie (grüner Pfeil) teilt sich in die rechte (lila Pfeil) und linke (gelber Pfeil) Pulmonalarterie.
© 2017 Elliot K. Fishman, MD.
In diesen Themen
