CT des Kopfes
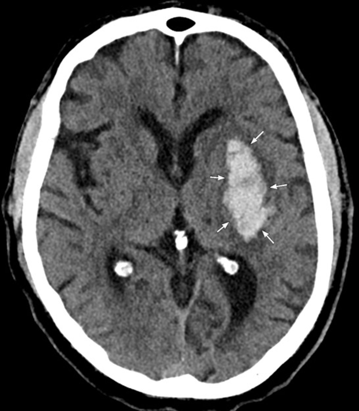
Das CT zeigt eine akute Blutung in den linken Basalganglien, die auf eine hypertensive intrazerebrale Blutung zurückzuführen ist.
Image courtesy of Mustafa Mafraji, MD.
In diesen Themen
Das CT zeigt eine akute Blutung in den linken Basalganglien, die auf eine hypertensive intrazerebrale Blutung zurückzuführen ist.
Image courtesy of Mustafa Mafraji, MD.