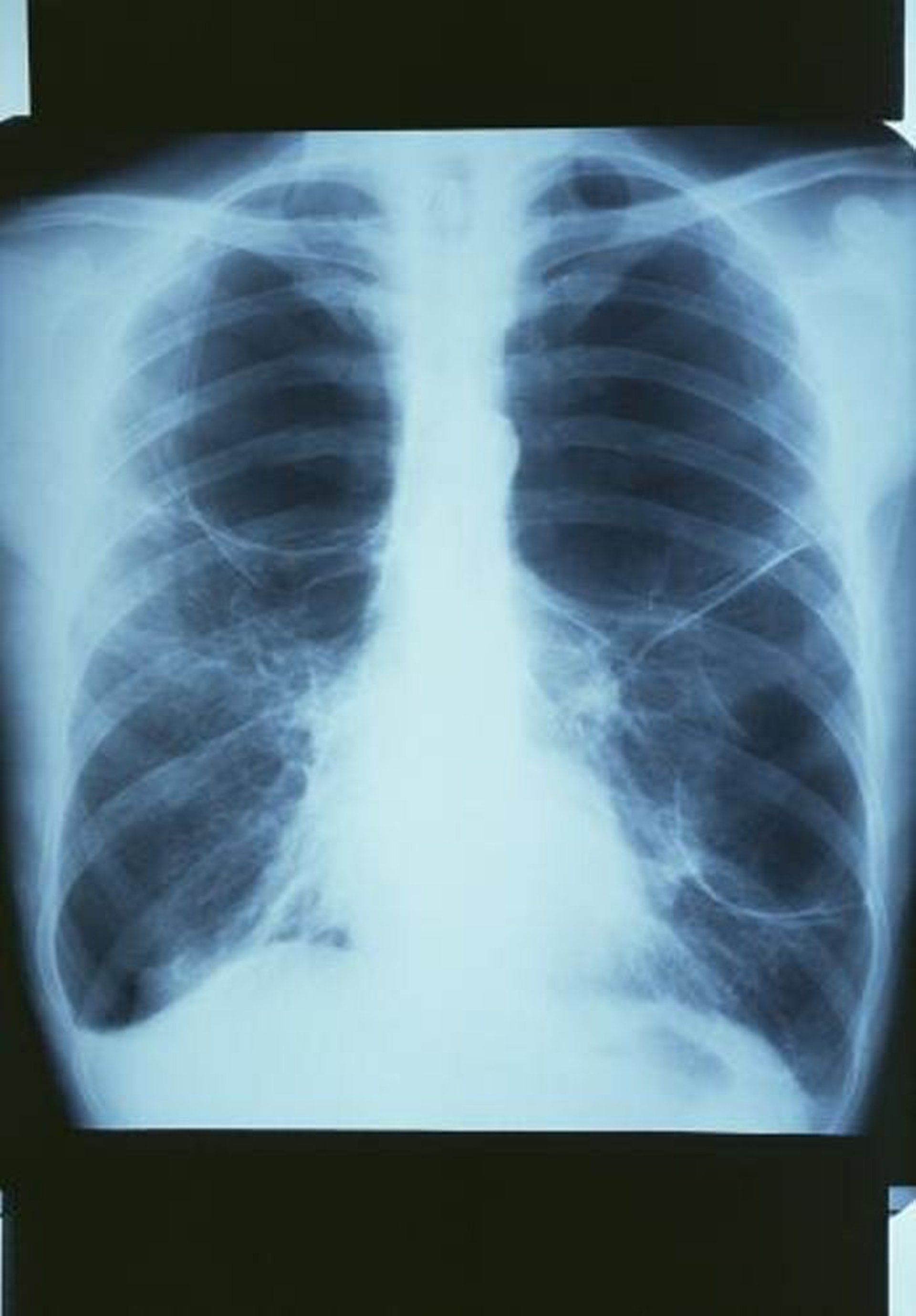
COPD mit Bullae
Diese Röntgenaufnahme des Thorax zeigt eine große Bulla in der oberen rechten Lunge und 2 große Bullae in der linken Lunge.
GJLP/CNRI/SCIENCE PHOTO LIBRARY
In diesen Themen
Diese Röntgenaufnahme des Thorax zeigt eine große Bulla in der oberen rechten Lunge und 2 große Bullae in der linken Lunge.
GJLP/CNRI/SCIENCE PHOTO LIBRARY