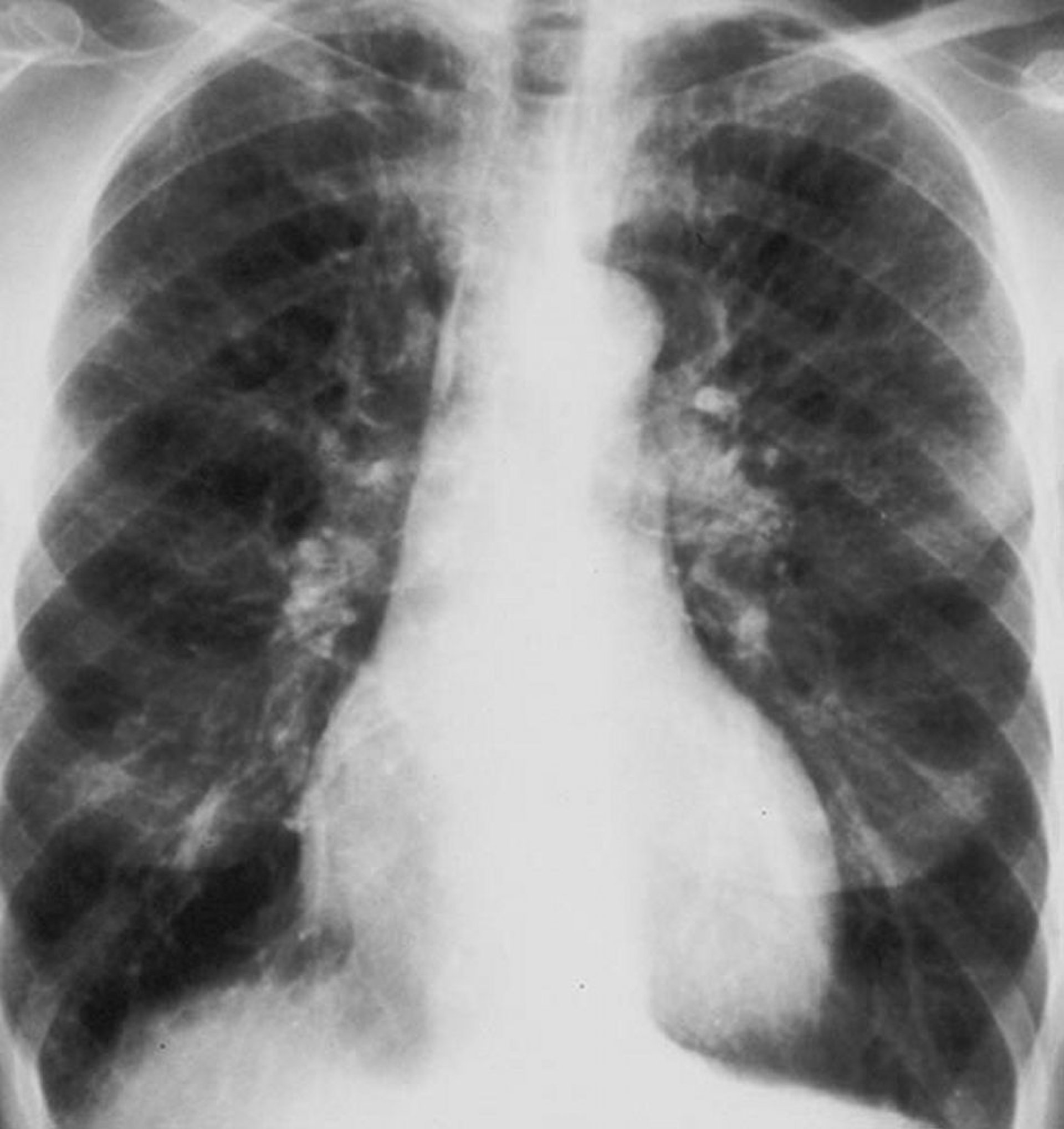
Chronische obstruktive Lungenerkrankung (Röntgenthorax)
Röntgenaufnahme des Thorax bei einem Patienten mit chronisch obstruktiver Lungenerkrankung (COPD). Die Lunge ist überbläht, das Zwerchfell ist abgeflacht, die Gefäßmarkierungen sind vergrößert, und das Herz ist geringfügig vergrößert.
By permission of the publisher. From Barnes P. In Bone's Atlas of Pulmonary and Critical Care Medicine. Edited by J Crapo. Philadelphia, Current Medicine, 2005.
In diesen Themen
