Chordom
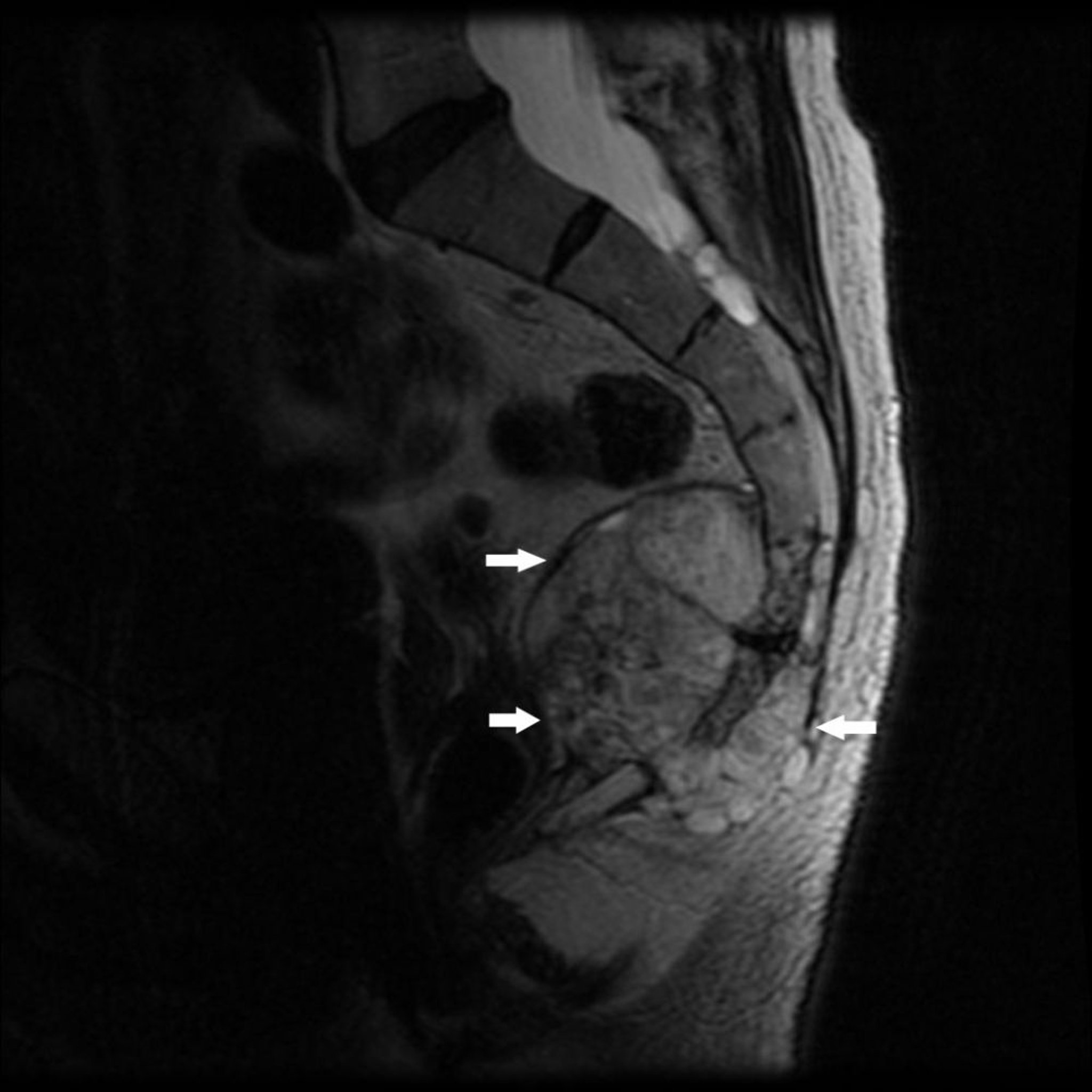
Diese MRT-Aufnahme zeigt einen Tumor am kaudalen Ende des Os sacrum (S4) und des Os coccygis mit Knochenzerstörung und Weichteilraumforderung (Pfeile), typisch für ein Chordom.
Image courtesy of Michael J. Joyce, MD, and Hakan Ilaslan, MD.
In diesen Themen
