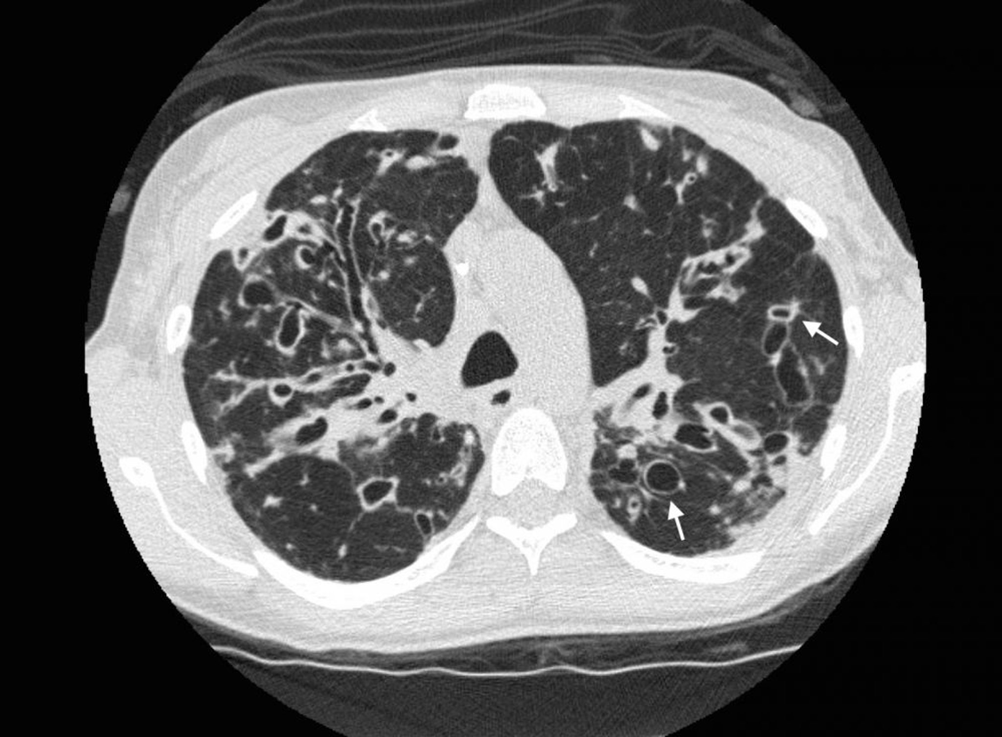
Bronchiektase (Computertomographie)
Ein Thorax-CT bei einem Patienten mit zystischer Fibrose zeigt eine schwere Bronchiektase in den oberen Lungenbereichen mit erweiterten Atemwegen und zystischen Veränderungen. Pfeile zeigen das Siegelringzeichen, bei dem ein erweiterter Atemweg (der Ring) an eine kleinere Arterie (die Spitze des Rings) angrenzt. Normalerweise sind die Atemwege gleich groß oder kleiner als die benachbarten Arterien.
Photo courtesy of Başak Çoruh, MD.
In diesen Themen
