Blastomykose
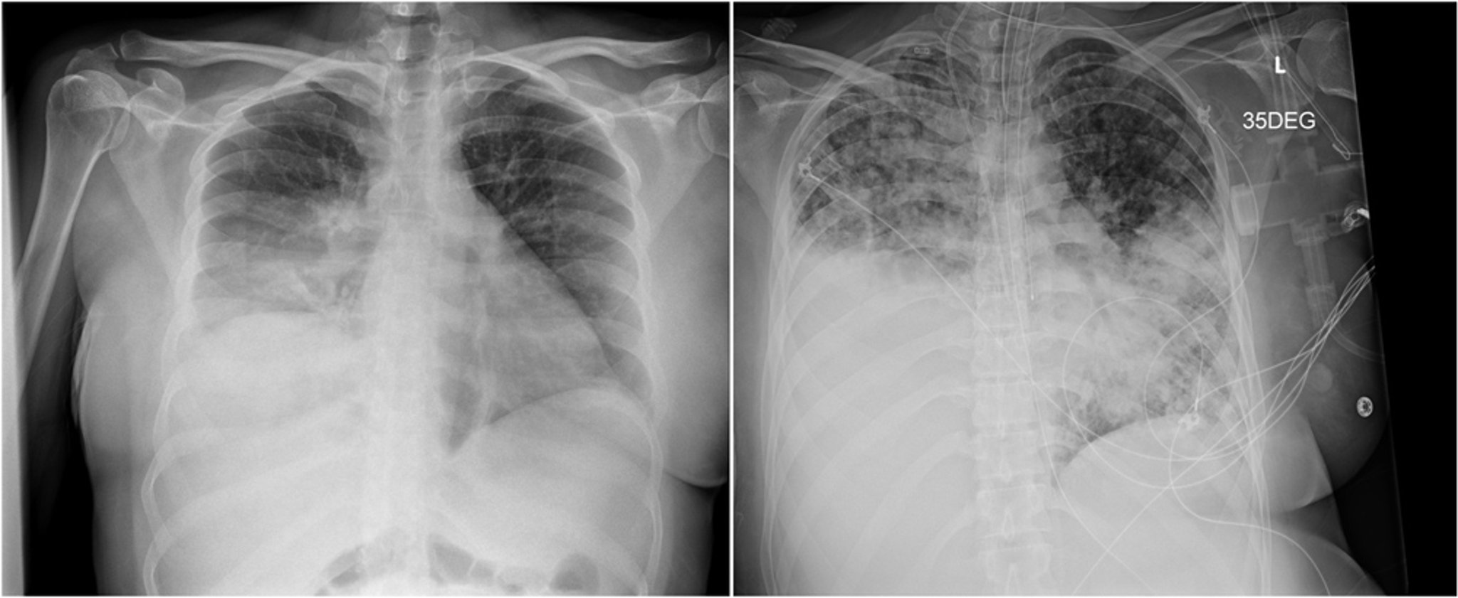
Das linke Röntgenbild zeigt eine Konsolidierung des rechten Unterlappens, die fälschlicherweise für eine bakterielle Pneumonie gehalten wurde. Die drei Wochen später angefertigte Röntgenaufnahme der rechten Seite zeigt ein Fortschreiten der Krankheit mit fleckigen bilateralen Luftraumtrübungen und einer dichten Konsolidierung im rechten Unterlappen.
Images courtesy of Paschalis Vergidis, MD, MSc.
In diesen Themen
