Benigne hypertensive arterioläre Nephrosklerose
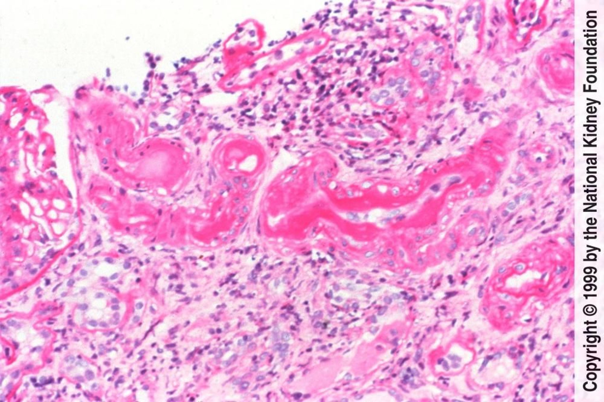
Die benigne hypertensive arterioläre Nephrosklerose ist histologisch durch eine arterioläre Hyalinose gekennzeichnet, die durch Insudation von Plasmaproteinen und eine mediale Verdickung durch Hypertrophie und Hyperplasie der glatten Gefäßmuskelzellen verursacht wird (periodische Säure-Schiff-Färbung, ×200).
Image provided by Agnes Fogo, MD, and the American Journal of Kidney Diseases' Atlas of Renal Pathology (see www.ajkd.org).
In diesen Themen
