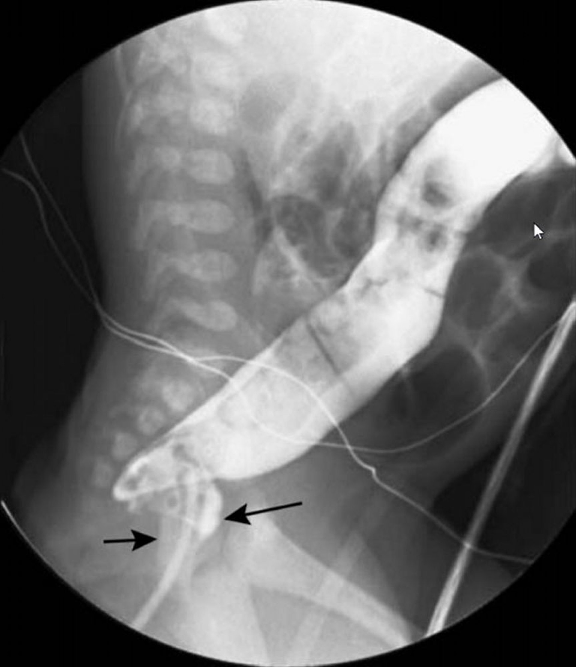
Bariumeinlauf mit Einzelkontrast, der das Schwanenhals-Erscheinungsbild der Hirschsprung-Krankheit zeigt
Auf dieser Abbildung zeigt der Bariumeinlauf ein verengtes Rektum (schwarze Pfeile) und ein erweitertes Kolon (weißer Pfeil) weiter proximal.
© Springer Science+Business Media
In diesen Themen
