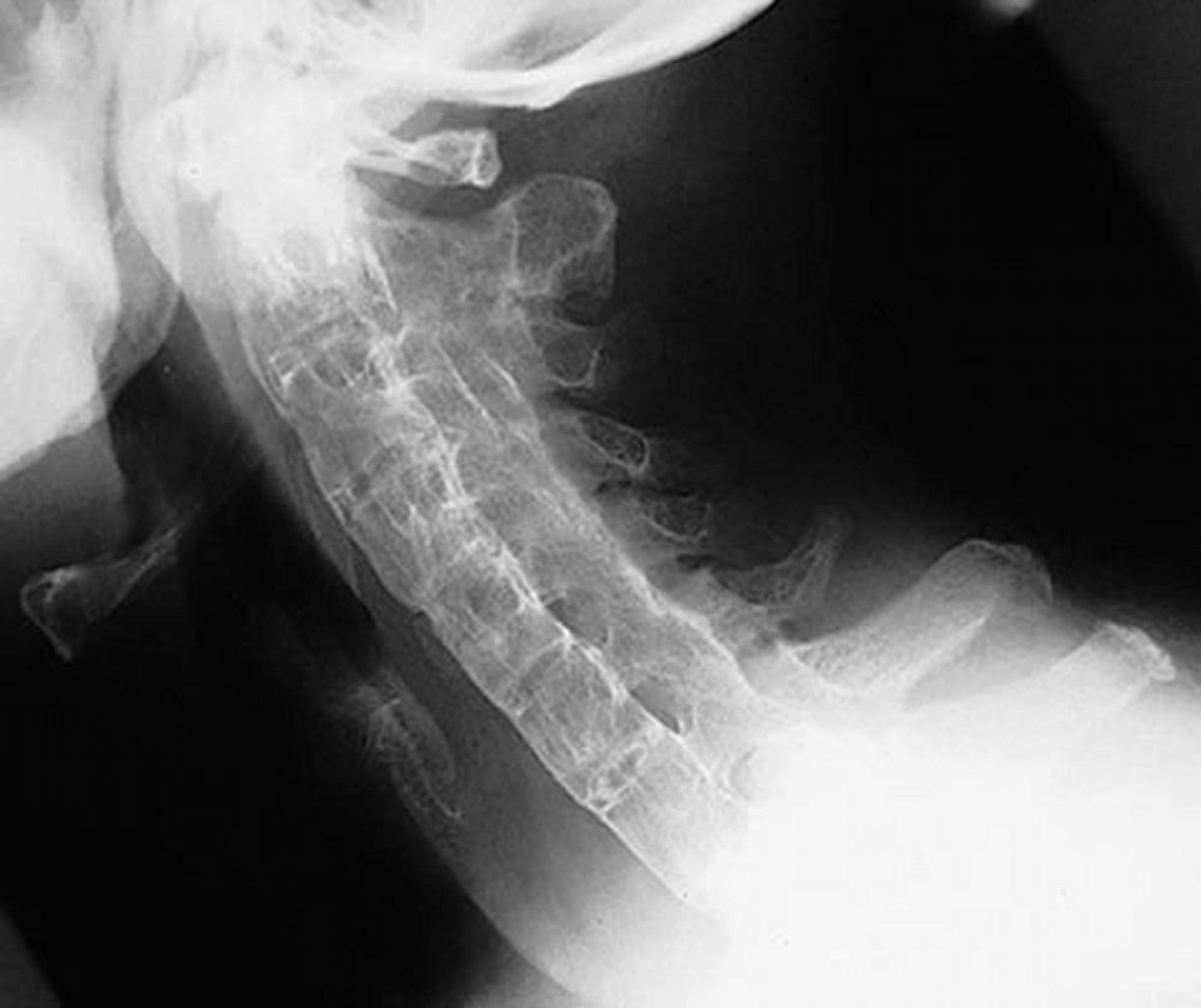
Bambuswirbelsäule bei Spondylitis ankylosans
Diese seitliche Ansicht der Halswirbelsäule zeigt eine starre Halswirbelsäule bei einem Patienten mit schwerer, langjähriger Spondylitis ankylosans. Die Wirbelsäule ist aufgrund von Syndesmophyten, verschmolzenen Facettengelenken (Apophysengelenken) und paraspinalen Bandverkalkungen vollständig ankylosiert ("Bambuswirbelsäule").
By permission of the publisher. From Asim Khan M: Atlas of Rheumatology. Edited by G Hunder. Philadelphia, Current Medicine, 2005.
In diesen Themen
