Anaplastisches Astrozytom
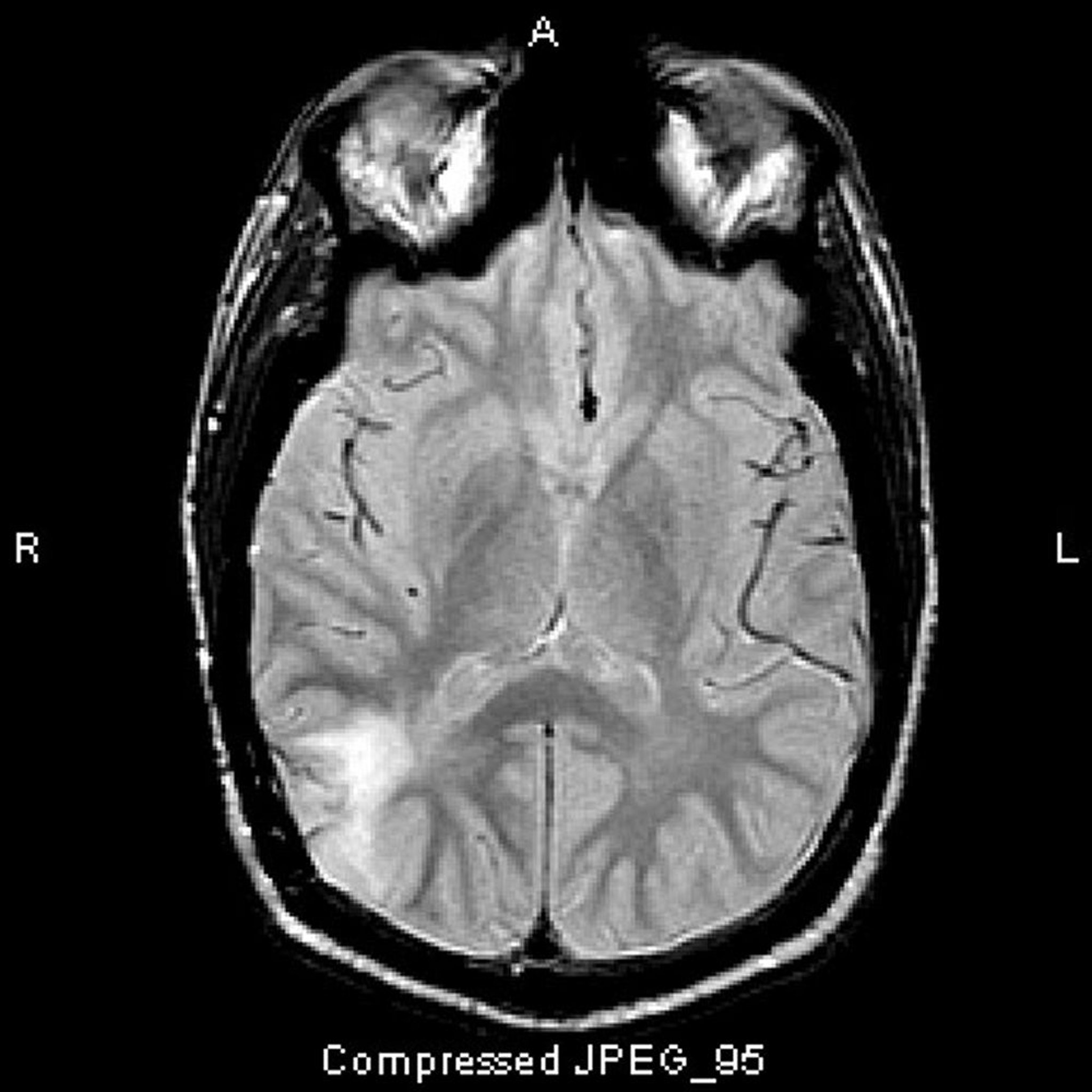
Dieser T2-FLAIR-MRT-Scan zeigt ein weißes Signal im hinteren Temporallappen. Das Signal wird nicht durch Kontrastmittel verstärkt. Es handelt sich um ein anaplastisches Astrozytom (Grad III).
Image courtesy of William R. Shapiro, MD.
In diesen Themen
