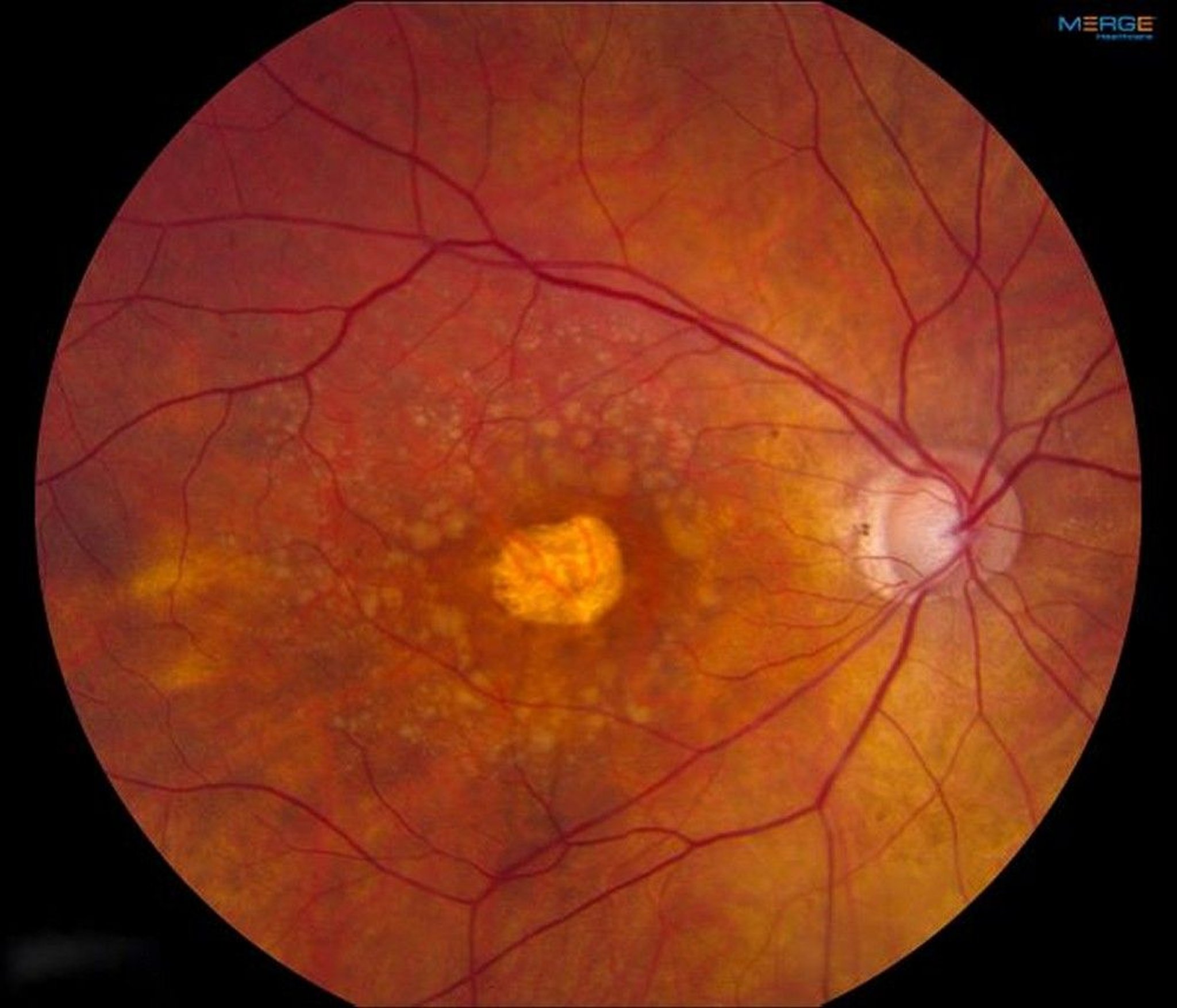
Altersbedingte Makuladegeneration (trocken, fortgeschritten)
Mit der Zeit entwickeln einige Augen eine zentrale Atrophie des retinalen Pigmentepithels und der Photorezeptoren. Dies kann zu einem signifikanten Verlust des zentralen Sehvermögens führen, der für eine fortgeschrittene AMD charakteristisch ist.
Abbildung zur Verfügung gestellt von Sunir Garg, MD.
In diesen Themen
