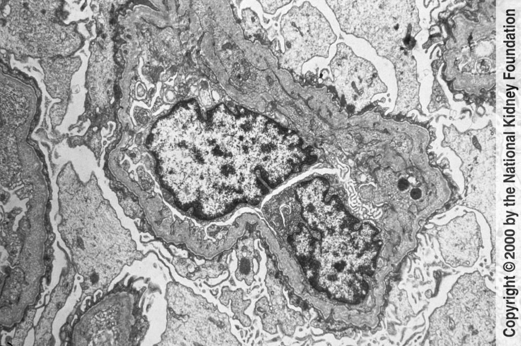
Alport-Syndrom (hereditäre Nephritis)
Die glomerulären Basalmembranen zeigen in der Transmissionselektronenmikroskopie eine unregelmäßige Verdünnung und Verdickung mit einem lamellierten Korbgeflecht. Die Veränderungen werden durch Verletzungen und Umstrukturierungen verursacht (×6000).
Image provided by Agnes Fogo, MD, and the American Journal of Kidney Diseases' Atlas of Renal Pathology (see www.ajkd.org).
In diesen Themen
