Akute Tubulusnekrose
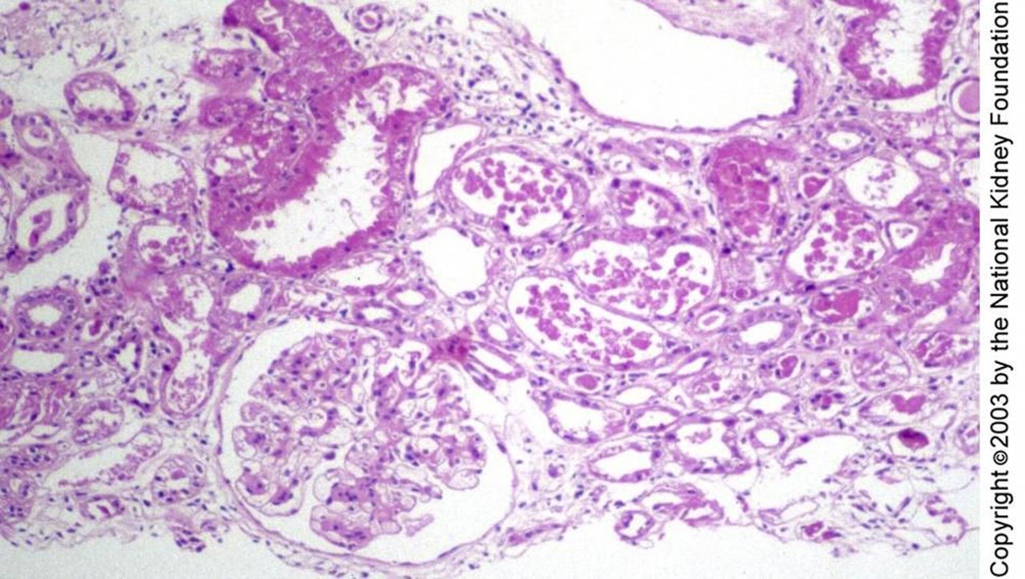
Die tubuläre Schädigung bei akuter tubulärer Nekrose kann sich histologisch als regenerierendes, abgeflachtes Tubulusepithel ohne Nekrose, wie rechts vom Glomerulus zu sehen, als Blasenbildung und Degeneration einzelner Zellen, wie oben links, oder als offene Nekrose, wie in der Mitte des Bildes, zeigen (periodische Säure-Schiff-Färbung, ×100).
Image provided by Agnes Fogo, MD, and the American Journal of Kidney Diseases' Atlas of Renal Pathology (see www.ajkd.org).
In diesen Themen
