Akute Tonsillitis
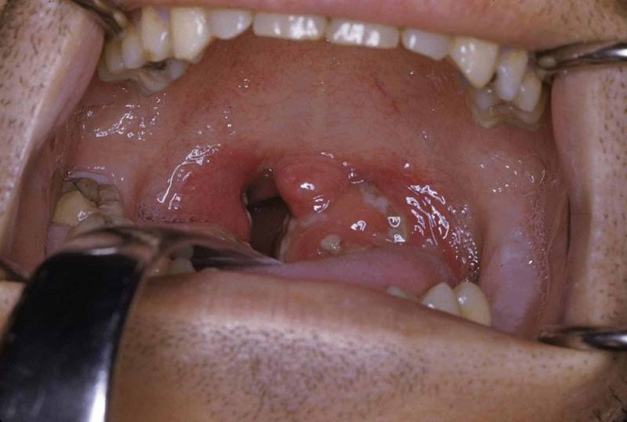
Dieses Foto zeigt eine akute Tonsillitis mit Exsudat und Erythem.
Foto zur Verfügung gestellt von Clarence T. Sasaki, MD.
In diesen Themen
Dieses Foto zeigt eine akute Tonsillitis mit Exsudat und Erythem.
Foto zur Verfügung gestellt von Clarence T. Sasaki, MD.