Akute nekrotisierende Masse
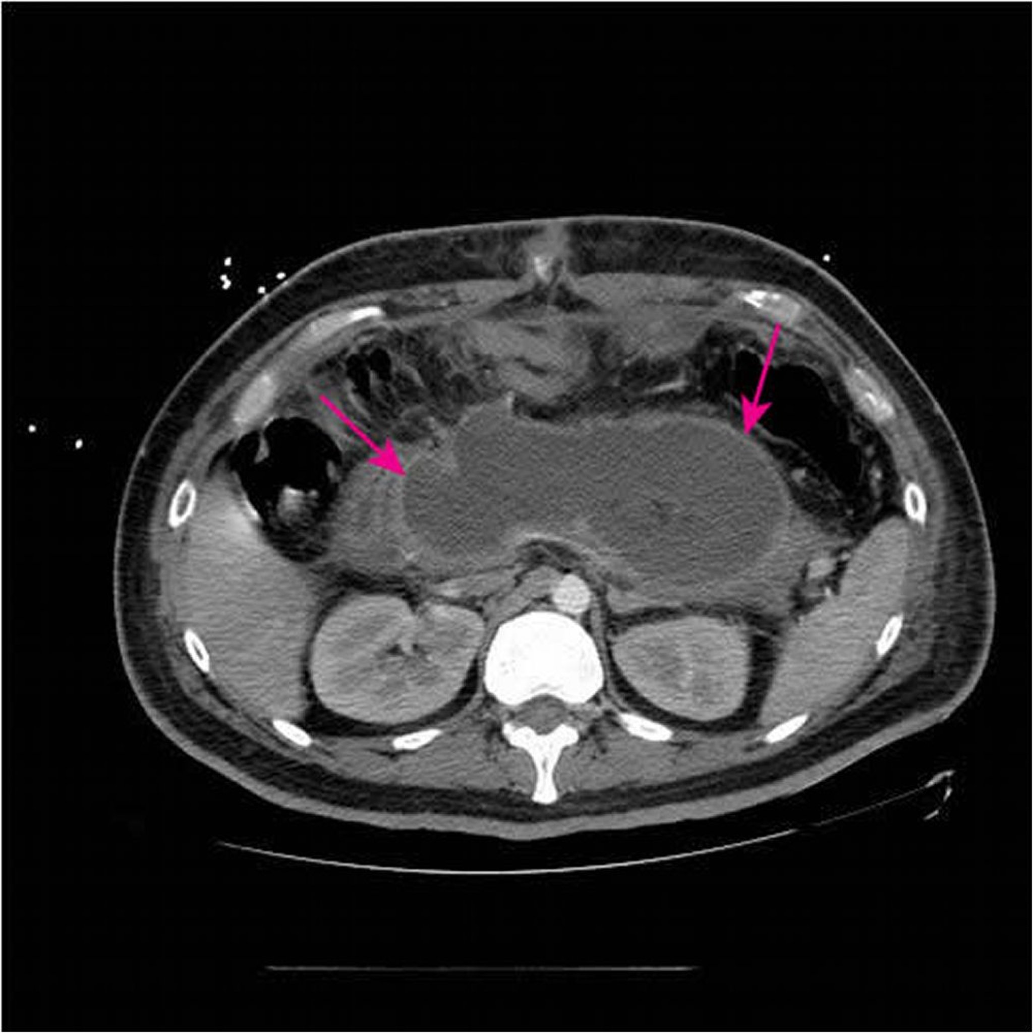
Dieser CT-Scan mit intravenösem und oralem Kontrastmittel zeigt eine große, akute nekrotisierende Masse (Pfeile), die den größten Teil des Pankreasgewebes ersetzt < 4 Wochen nach Erstvorstellung einer nekrotisierenden Pankreatitis.
Image courtesy of Sonam Rosberger, MD.
In diesen Themen
