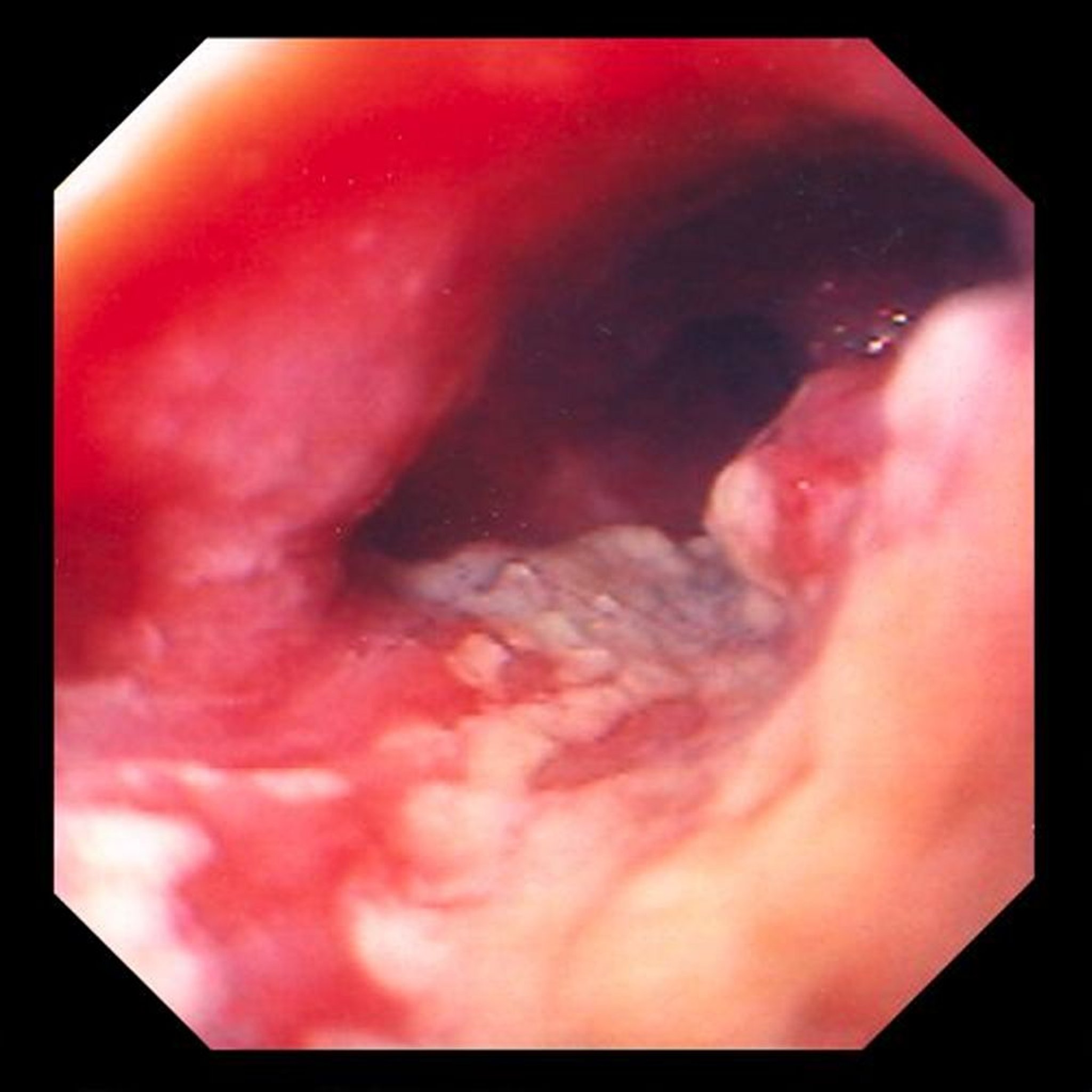
Adenokarzinom des Ösophagus
Dieses Bild zeigt einen ulzerierten, einschnürenden Tumor im distalen Ösophagus, der stark auf ein Adenokarzinom hindeutet, das aus metaplastischen säulenförmigen Veränderungen (Barrett-Ösophagus) entsteht.
Image provided by David M. Martin, MD.
In diesen Themen
