Abdominale Aortendissektion
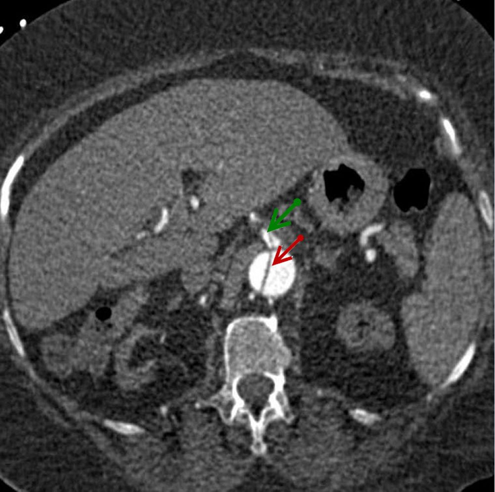
Axiales Bild des Dissektionsklappens in der absteigenden Bauchaorta (roter Pfeil), der sich in die A. mesenterica superior erstreckt (grüner Pfeil).
© 2017 Elliot K. Fishman, MD.
In diesen Themen
Axiales Bild des Dissektionsklappens in der absteigenden Bauchaorta (roter Pfeil), der sich in die A. mesenterica superior erstreckt (grüner Pfeil).
© 2017 Elliot K. Fishman, MD.