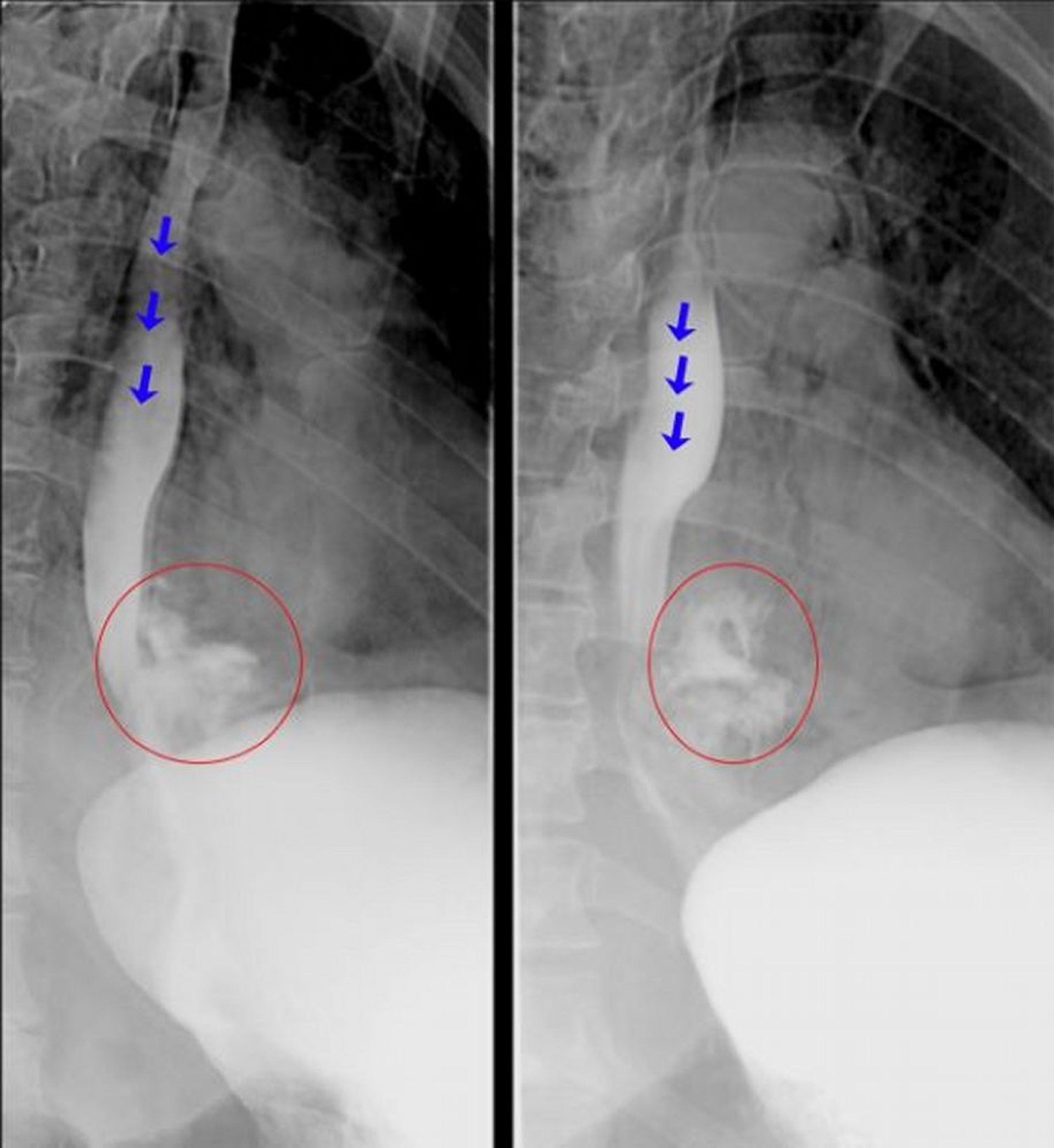
Ösophagographie mit wasserlöslichem Kontrastmittel
Diese fluoroskopischen Ösophagogramme zeigen ein offenes Extravasieren von Kontrastmittel aus dem distalen Ösophagus, was auf eine Ösophagusperforation hindeutet. Die blauen Pfeile markieren das Kontrastmittel im Lumen des Ösophagus. Die roten Kreise markieren Kontrastmittel, das aus der Speiseröhre extravasiert wurde.
© Springer Science+Business Media
In diesen Themen
