Sideroblastische Anämien sind eine vielfältige Gruppe von Anämien, die durch das Vorhandensein von erhöhtem Serum-Eisen, Ferritin und Transferrin-Sättigung sowie von ringförmigen Sideroblasten (Erythroblasten mit perinukleären eisenhaltigen Mitochondrien) gekennzeichnet sind. Die Symptome entsprechen denen einer Anämie und umfassen Müdigkeit und Lethargie. Die Diagnose erfordert ein vollständiges Blutbild, Retikulozytenzahl und peripheren Blutausstrich sowie Eisenuntersuchungen und eine Knochenmarkuntersuchung. Die Behandlung erfordert das Absetzen der verursachenden Substanzen wie Zink, bestimmte Medikamente oder Ethanol sowie die Gabe von Vitaminzusätzen und Erythropoietin oder anderen Behandlungen des myelodysplastischen Syndroms, falls vorhanden.
(Siehe auch Übersicht über verminderte Erythropoeisis.)
Sideroblastische Anämien
Erworben
Kongenital
Eine erworbene sideroblastische Anämie wird häufig mit dem myelodysplastischen Syndrom in Verbindung gebracht (kann aber auch durch Arzneimittel oder Toxine verursacht werden) und verursacht eine normozytäre oder makrozytäre Anämie.
Die kongenitale sideroblastische Anämie wird durch eine der zahlreichen X-chromosomalen oder autosomalen Mutationen verursacht und ist normalerweise eine mikrozytäre, hypochrome Anämie, kann aber auch normozytär sein und später im Leben auftreten.
Sideroblastische Anämien sind Eisenfehlverwertungsanämien, die durch eine unzureichende mitochondriale Eisenverwertung aufgrund einer gestörten Hämesynthese trotz ausreichender oder erhöhter Eisenmengen gekennzeichnet sind. Sideroblastische Anämien sind manchmal durch das Vorhandensein von gesprenkelten roten Blutkörperchen (Siderozyten) mit eisenhaltigen Granula (Pappenheimer-Körperchen) gekennzeichnet.
Sowohl bei der erworbenen als auch bei der kongenitalen sideroblastischen Anämie wird die Hämsynthese beeinträchtigt, da Eisen nicht in Protoporphyrin IX eingebaut werden kann, was zur Bildung von Ringsideroblasten führt.
Erworbene sideroblastische Anämie
Erworbene sideroblastische Anämien sind meistens Teil einer
Somatische Mutationen in Genen, die am RNA-Spleißen beteiligt sind, am häufigsten SF3B1 (Spleißfaktor 3b Untereinheit 1), treten im Erwachsenenalter auf. Frühe erythroide Vorläuferzellen sind sideroblastisch.
Seltenere Ursachen sind
Mangel an Vitamin B6 (Pyridoxin) oder Kupfer (möglicherweise verursacht durch die Einnahme von Zink, das die Aufnahme von Kupfer im Magen-Darm-Trakt verhindert)
Medikamente (z. B. Chloramphenicol, Cycloserin, Isoniazid, Linezolid, Pyrazinamid)
Toxine (einschließlich Ethanol, Zink und Blei)
Im Knochenmark sind eine unzureichende Retikulozytenproduktion, intramedulläres Absterben von Erythrozyten und eine erythrozytäre Hyperplasie (und Dysplasie) zu beobachten. Obwohl hypochrome Erythrozyten entstehen, können auch Riesenformen von Erythrozyten vorliegen, die zu normozytischen oder makrozytischen Indizes führen. In diesen Fällen hat die unterschiedliche Erythrozytengröße (Dimorphismus) meist eine erhöhte Erythrozytenverteilungsbreite (RDW) zur Folge.
Angeborene sideroblastische Anämie
Vererbte Formen der sideroblastischen Anämie sind seltener als erworbene Formen und treten in der Regel im Säuglings- oder Kleinkindalter auf. Die häufigste kongenitale sideroblastische Anämie ist eine X-chromosomale Form, die durch eine Keimbahnmutation in ALAS2 (5'-Aminolävulinat-Synthase 2), einem an der Häm-Biosynthese beteiligten Gen, verursacht wird. Vitamin B6 (Pyridoxin) ist ein essentieller Cofaktor für das von ALAS2 produzierte Enzym, so dass Patienten auf eine Pyridoxin-Supplementierung ansprechen können.
Zahlreiche andere X-chromosomale, autosomale und mitochondriale Formen wurden mit Mutationen in Genen identifiziert, die an der Häm-Synthese oder anderen mitochondrialen Enzymwegen beteiligt sind (1).
Erythrozyten sind in der Regel mikrozytär und hypochrom, aber dies ist nicht immer der Fall; bei den Ringsideroblasten handelt es sich um späte Erythroblasten.
Allgemeiner Hinweis
1. Ducamp S, Fleming MD. The molecular genetics of sideroblastic anemia. Blood. 133:59–69, 2019. doi: 10.1182/blood-2018-08-815951
Diagnose sideroblastischer Anämien
Blutbild, Retikulozyten und peripherer Blutausstrich
Eisenstudien (Serumeisen, Serumferritin und Transferrinsättigung)
Untersuchung des Knochenmarks
Gentests bei Verdacht auf eine vererbte oder erworbene Mutation
Sideroblastische Anämien sollten bei Patienten mit mikrozytären Anämien oder hoher Erythrozytenverteilungsbreite in Erwägung gezogen werden, insbesondere wenn gleichzeitig erhöhte Serumeisen- oder Serumferritinwerte und eine erhöhte Transferrinsättigung vorliegen (siehe Eisenmangelanämie).
Der periphere Blutausstrich zeigt Erythrozytendimorphismus. Die Erythrozyten können getüpfelt erscheinen.
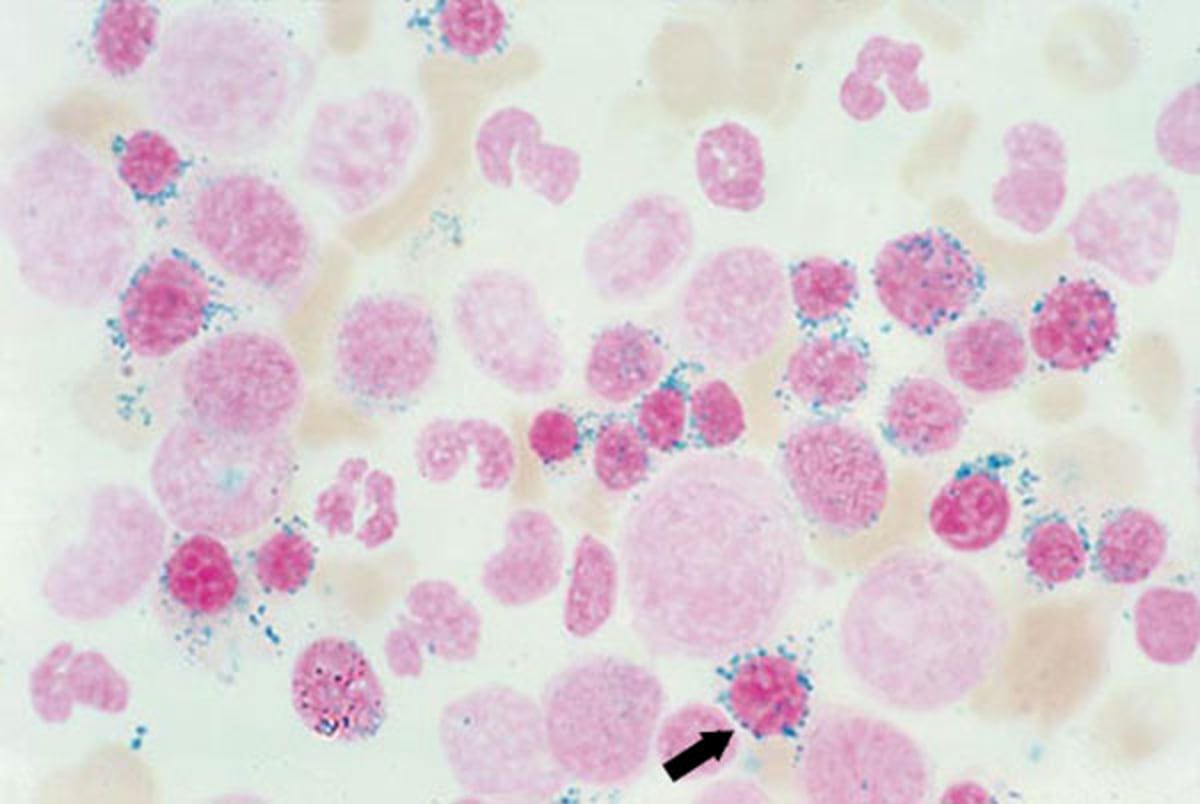
Durch die notwendige Knochenmarkuntersuchung kann eine hyperplastische Erythropoese nachgewiesen werden. Die Eisenfärbung zeigt pathognomonische Veränderungen in Form von eisenüberladenen perinukleären Mitochondrien in sich entwickelnden Erythrozyten (Ringsideroblasten). Andere Merkmale von myelodysplastischem Syndrom wie Zytopenie und Dysplasie, können offensichtlich sein.
By permission of the publisher. From Tefferi A, Li C. In Atlas of Clinical Hematology. Edited by JO Armitage. Philadelphia, Current Medicine, 2004.
In Fällen von sideroblastischer Anämie unklarer Genese sollte der Serumbleiwert bestimmt werden.
Behandlung von sideroblastischen Anämien
Stoppen verursachender Substanzen
Vitamin- oder Mineralstoffergänzung
Rekombinantes Erythropoietin (EPO)
Luspatercept für transfusionsabhängige Patienten mit myelodysplastischem Syndrom und niedrigem Risiko
Die Eliminierung eines Toxins oder einer Droge (insbesondere Alkohol oder Zinkeinnahme) oder einer Mineral-/Vitamin-Supplementierung (Kupfer oder Pyridoxin) kann zur Erholung führen.
Die X-chromosomale sideroblastische Anämie kann auf Pyridoxin ansprechen, jedoch meist nur unvollständig.
Erworbene Fälle sprechen häufig auf hohe Dosen von rekombinantem EPO und die Standardbehandlung für das myelodysplastische Syndrom mit geringem Risiko an. Luspatercept, das die Differenzierung von Erythrozytenvorläufern fördert, ist auch eine Erstlinienbehandlung für transfusionsabhängige Anämie beim myelodysplastischen Syndrom mit geringerem Risiko bei Patienten mit und ohne Ringsideroblasten (1, 2).
Die Behandlung der Eisenüberladung mit Chelattherapie oder Phlebotomie trägt dazu bei, Endorganschäden zu verhindern. Die Behandlung einer schweren Anämie erfolgt unterstützend mit Transfusionen. Bei jungen Patienten mit angeborenen Fällen, die auf Transfusionen angewiesen sind, sollte eine allogene Knochenmarktransplantation in Betracht gezogen werden.
Literatur zur Behandlung
1. Fenaux P, Platzbecker U, Mufti GJ, et al. Luspatercept in patients with lower-risk myelodysplastic syndromes. N Engl J Med. 382(2): 140–151, 2020. doi: 10.1056/NEJMoa1908892
2. Platzbecker U, Della Porta MG, Santini V, et al. Efficacy and safety of luspatercept versus epoetin alfa in erythropoiesis-stimulating agent-naive, transfusion-dependent, lower-risk myelodysplastic syndromes (COMMANDS): interim analysis of a phase 3, open-label, randomised controlled trial. Lancet. 2023;402(10399):373-385. doi:10.1016/S0140-6736(23)00874-7
Wichtige Punkte
Sideroblastische Anämien kann erworben oder angeboren sein.
Ringförmige Sideroblasten in einer Knochenmarksbiopsie sind pathognomonisch.
Anämie ist in der Regel bei kongenitaler sideroblastischer Anämie mikrozytisch und bei erworbener sideroblastischer Anämie makrozytisch.
Serumeisen, Ferritin und Transferrin sind typischerweise erhöht.
Behandeln Sie die zugrundeliegende Störung und erwägen Sie Pyridoxin bei angeborenen Fällen oder rekombinantes Erythropoietin bei erworbenen Fällen.
Bei Patienten mit myelodysplastischem Syndrom, die auf Transfusionen angewiesen sind und ein geringeres Risiko aufweisen, sollte Luspatercept in Betracht gezogen werden.
