Bei einem Beinbruch ist mindestens einer der drei Röhrenknochen im Bein betroffen: der Oberschenkelknochen (das Femur), das Schienbein (die Tibia) und der kleinere Knochen im Unterschenkel (das Wadenbein bzw. die Fibula).
(Siehe auch Überblick über Knochenbrüche.)
Frakturen des Schienbeins (Tibia) oder Wadenbeins (Fibula) am Fuß gelten als Fußknöchelfrakturen.
Frakturen des Oberschenkelknochens (Femur)
Frakturen können im langen mittleren Teil (Schaft) des Oberschenkelknochens, dem größten Knochen im Körper, entstehen. Der obere Teil des Oberschenkelknochens bildet einen Teil des Hüftgelenks. Frakturen oben am Hüftknochen gelten daher als Hüftfrakturen.
Oberschenkelfrakturen treten meist bei Stürzen aus größerer Höhe, bei Verkehrsunfällen mit hoher Geschwindigkeit oder bei Kollisionen zwischen Auto und Fußgänger auf.
Der Oberschenkel ist geschwollen, das Bein sieht verdreht aus und der Betroffene kann weder stehen noch gehen.
Der Bruch am Oberschenkel kann zwar offensichtlich sein, trotzdem erstellen die Ärzte Röntgenaufnahmen zur Bestätigung der Diagnose.
Eine Schiene oder ein Fixateur wird angelegt und dann schnellstmöglich ein chirurgischer Eingriff zur Ausrichtung und Immobilisierung der Fraktur vorgenommen.
Da dieser Knochen sehr kräftig ist, sind Schaftfrakturen meist die Folge einer starken Krafteinwirkung.
Symptome von Oberschenkelfrakturen
Wenn der Schaft gebrochen ist, ist der Oberschenkel geschwollen und das Bein sieht verdreht und oft auch verkürzt aus. Die Betroffenen können weder stehen noch gehen. Sie können erhebliche Mengen an Blut verlieren, so dass der Blutdruck mitunter gefährlich stark abfällt (Schock).
Diagnose von Oberschenkelfrakturen
Röntgenaufnahmen
(Siehe auch Diagnose von Frakturen.)
Schaftfrakturen sind zwar an den Symptomen und Umständen gut zu erkennen, es werden aber dennoch Röntgenaufnahmen zur Absicherung der Diagnose gemacht.
Da diese Art von Fraktur meist durch Einwirkung einer starken Kraft auftritt, werden die Betroffenen vom Arzt auch noch auf andere Verletzungen untersucht.
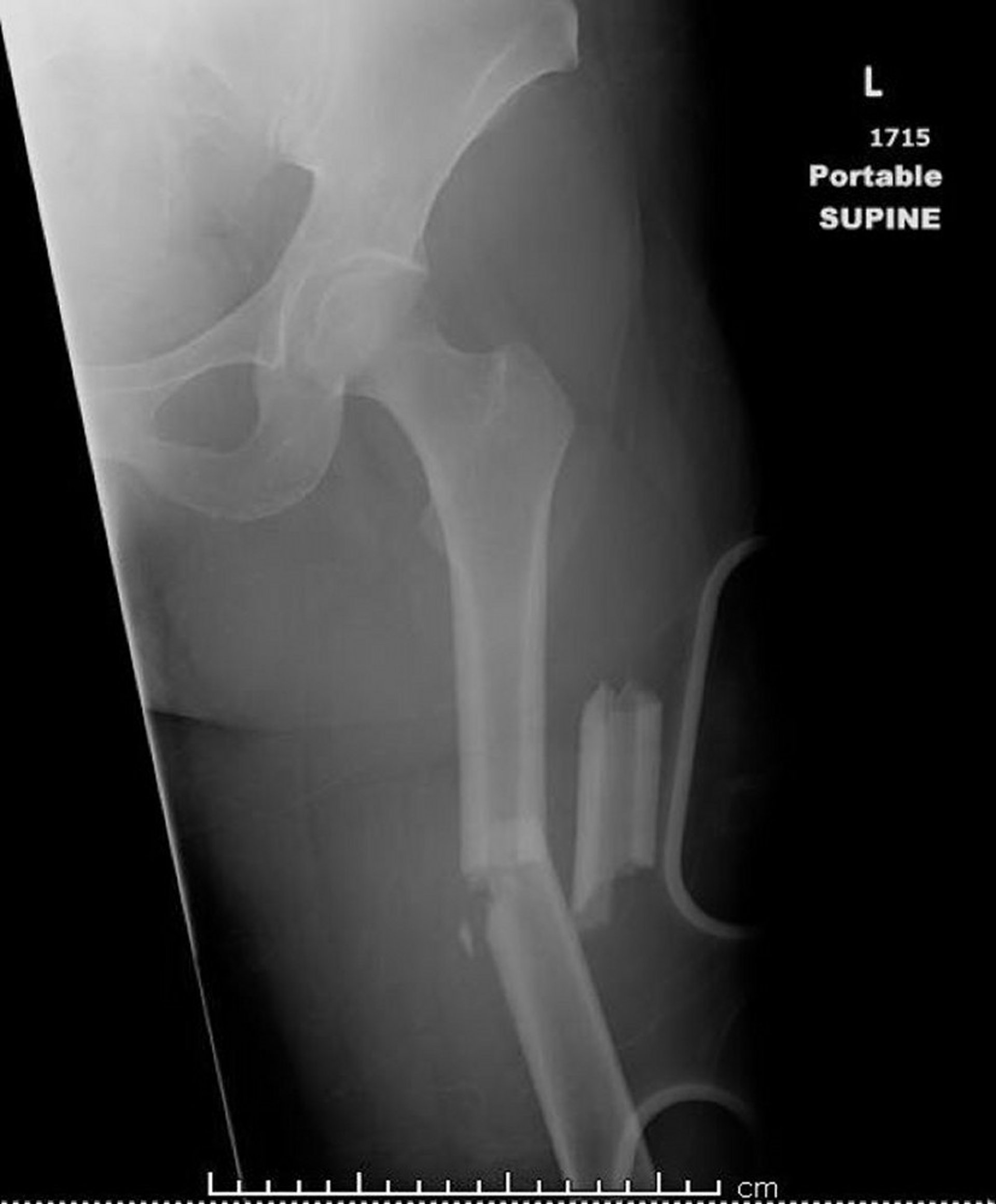
Auf diesem Bild ist ein Oberschenkelknochen (Femur) zu sehen, der an mehr als zwei Stellen gebrochen ist (zertrümmert).
Bild mit freundlicher Genehmigung von Dr. med. Danielle Campagne.
Behandlung von Oberschenkelfrakturen
Eine Schiene und Traktion
Chirurgischer Eingriff zur Reponierung der Knochenbruchstücke
Es werden eine Schiene und in der Regel eine Traktionsvorrichtung, eine Traktionsschiene oder eine Spezialtraktionsvorrichtung, angelegt, um das Bein zu immobilisieren, meist schon, bevor der/die Betroffene ins Krankenhaus gebracht wird. Dort wird dann so schnell wie möglich operiert, um die Bruchstücke auszurichten und sie mit Metallstiften oder -platten zu fixieren. Dieses Verfahren wird offene Reposition und interne Fixation (ORIF) genannt.
Die meisten Patienten können kurz nach dem chirurgischen Eingriff an Krücken gehen.
