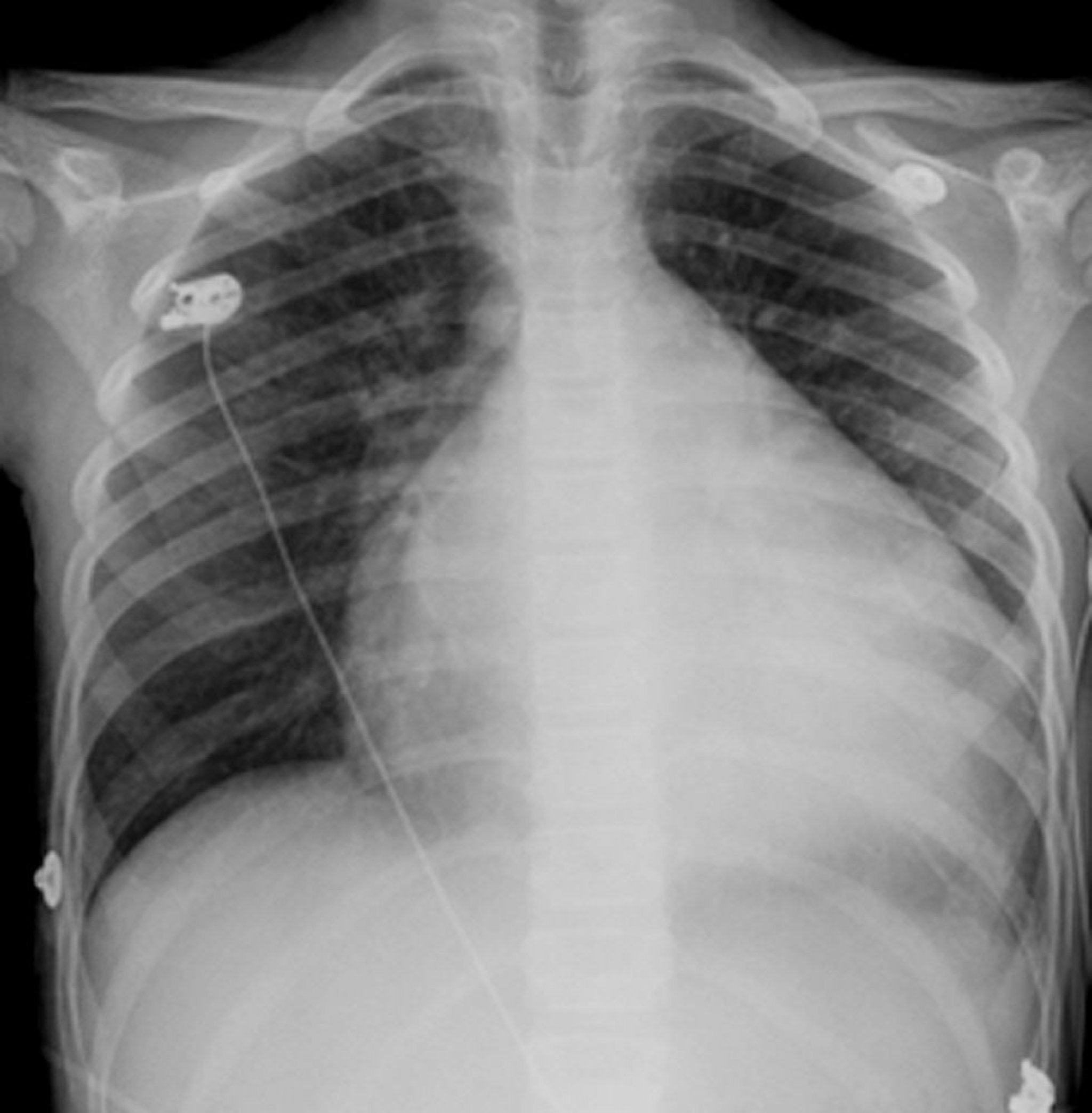
Vergrößertes Herz
Das Herz ist das kugelförmige weiße Objekt in der Mitte des Brustraums. Normalerweise nimmt es weniger als die Hälfte des Brustraums ein, doch bei dieser Person mit Kardiomyopathie nimmt das vergrößerte Herz fast drei Viertel des Brustraums ein.
© Springer Science+Business Media
In diesen Themen
