Osteosarkom
Auf dieser Röntgenaufnahme eines Knies ist ein Osteosarkom im Oberschenkelknochen (Femur) über dem Kniegelenk zu sehen.
Bild mit freundlicher Genehmigung von Dr. med. Lukas Nystrom.
In diesen Themen
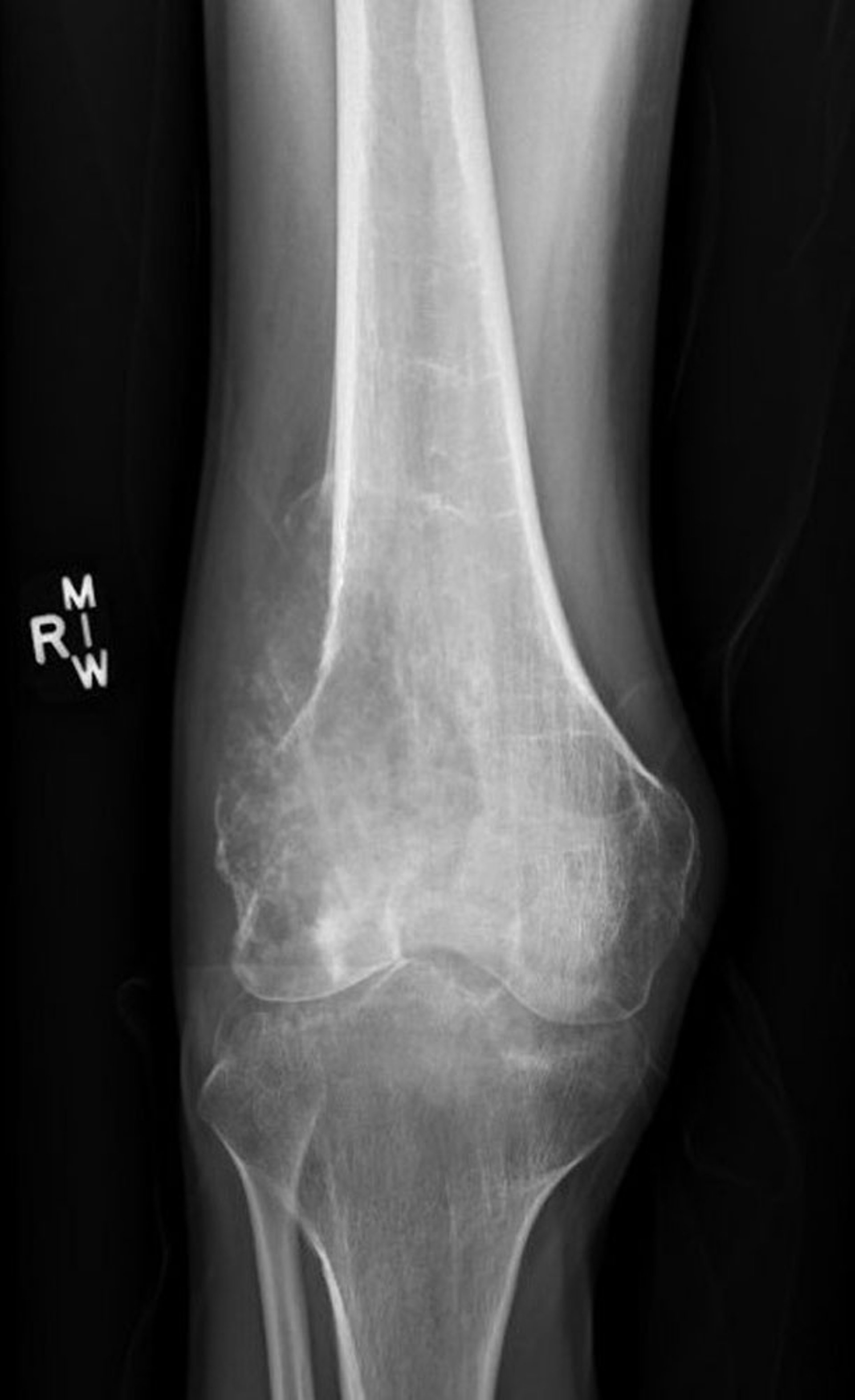
Auf dieser Röntgenaufnahme eines Knies ist ein Osteosarkom im Oberschenkelknochen (Femur) über dem Kniegelenk zu sehen.
Bild mit freundlicher Genehmigung von Dr. med. Lukas Nystrom.