honeypot link
skip to main content
MSD Manual LogoMsd ManualAusgabe für Patienten
MEDIZINISCHE THEMENGESUND LEBENSYMPTOMENOTFÄLLERESSOURCENKOMMENTARÜBER
homeMEDIZINISCHE THEMENGESUND LEBEN
Search icon
  1. <Bilder
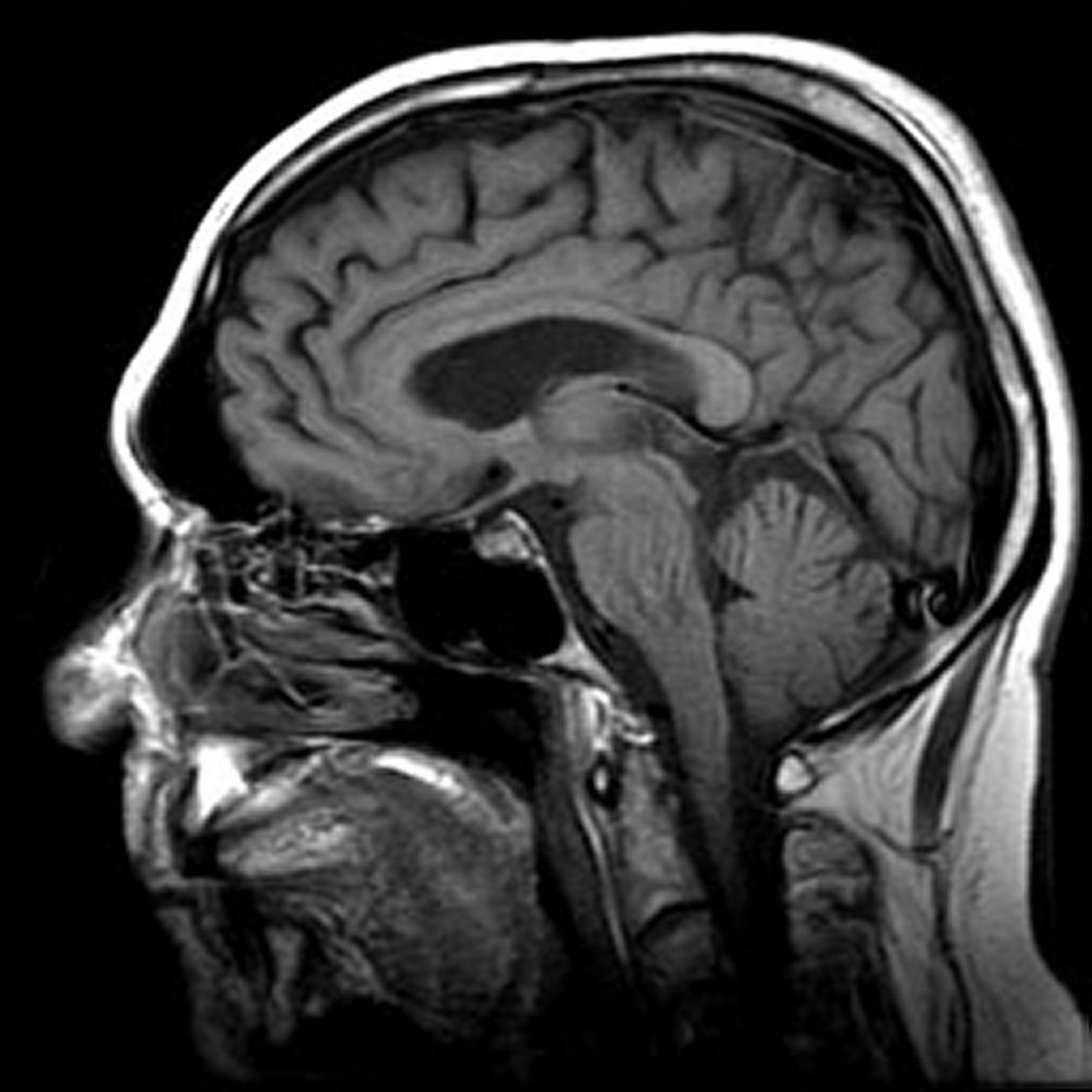
    Magnetresonanztomografie (MRT) des Gehirns

    Magnetresonanztomografie (MRT) des Gehirns

    Bild von Dr. med. Jon A. Jacobson.

    In diesen Themen
    • Magnetresonanztomographie (MRT) >
    • Kurzinformationen: Magnetresonanztomographie (MRT) >
    MSD
    • Über
    • Haftungsausschluss
    • Benutzerrechte
    • Datenschutz
    • Cookie Preferences
    • Nutzungsbedingungen
    • Lizenzierung
    • Kontaktieren Sie uns
    • Veterinärhandbuch (nur Englisch)
    MSD

    Copyright© 2026Merck & Co., Inc., Rahway, NJ, USA und seine verbundenen Unternehmen. Alle Rechte vorbehalten.