Magenkrebs
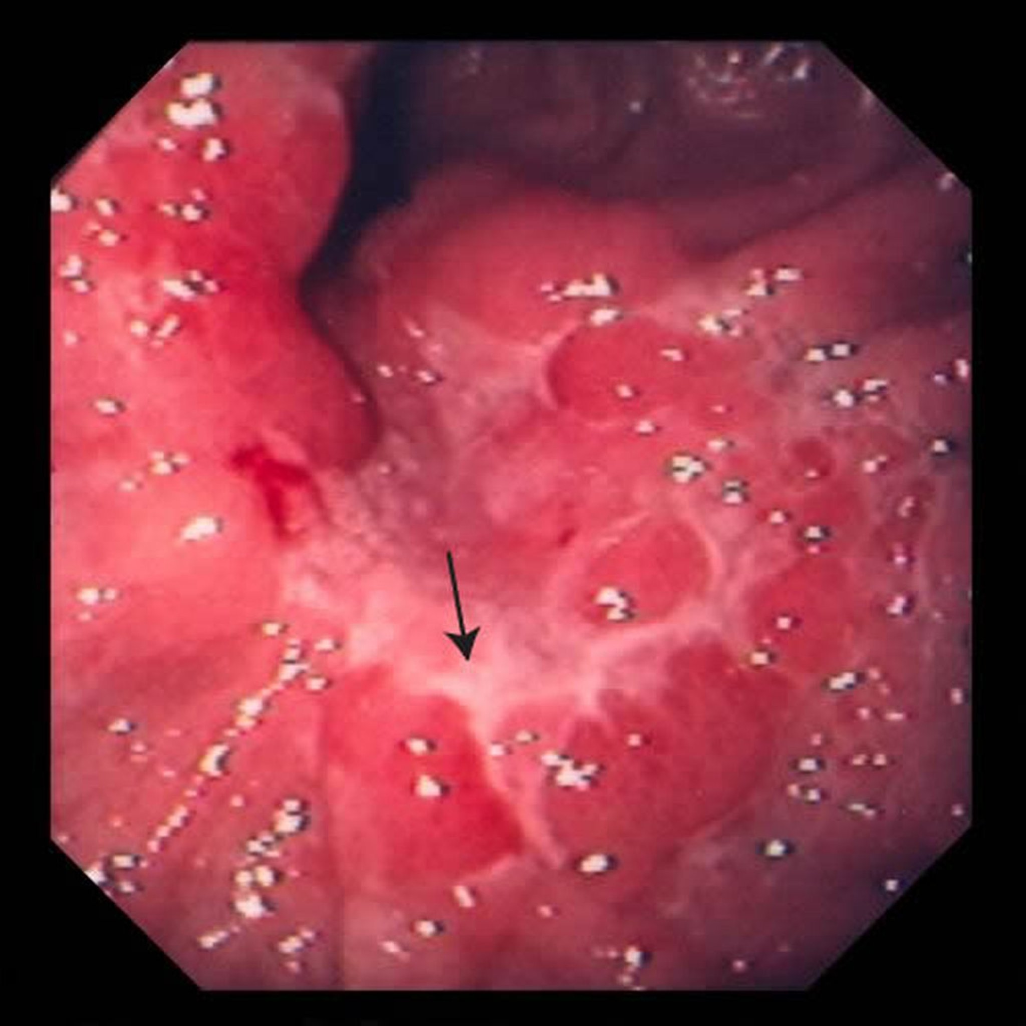
Auf diesem Bild ist ein Geschwür im Magen (Pfeil) zu sehen. Nach einer Biopsie stellten die Ärzte fest, dass es sich hierbei um ein Adenokarzinom handelte.
Bild von David M. Martin, MD.
In diesen Themen
Auf diesem Bild ist ein Geschwür im Magen (Pfeil) zu sehen. Nach einer Biopsie stellten die Ärzte fest, dass es sich hierbei um ein Adenokarzinom handelte.
Bild von David M. Martin, MD.