Fremdkörper im Verdauungstrakt (Röntgenaufnahme)
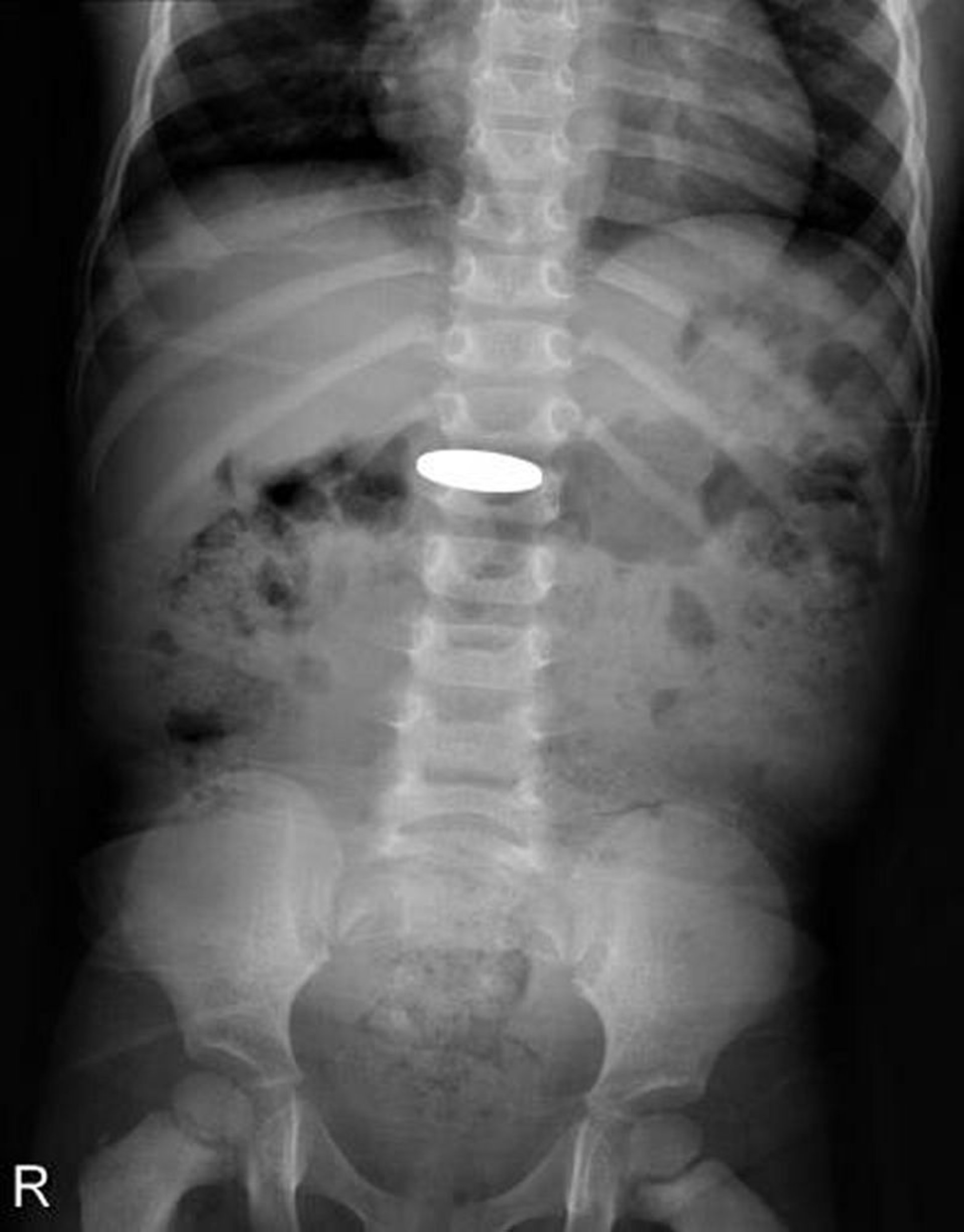
Auf dieser Röntgenaufnahme ist eine Münze zu sehen, die von einem Kleinkind verschluckt wurde.
DU CANE MEDICAL IMAGING LTD/SCIENCE PHOTO LIBRARY
In diesen Themen
Auf dieser Röntgenaufnahme ist eine Münze zu sehen, die von einem Kleinkind verschluckt wurde.
DU CANE MEDICAL IMAGING LTD/SCIENCE PHOTO LIBRARY