Ewing-Sarkom im Knochen
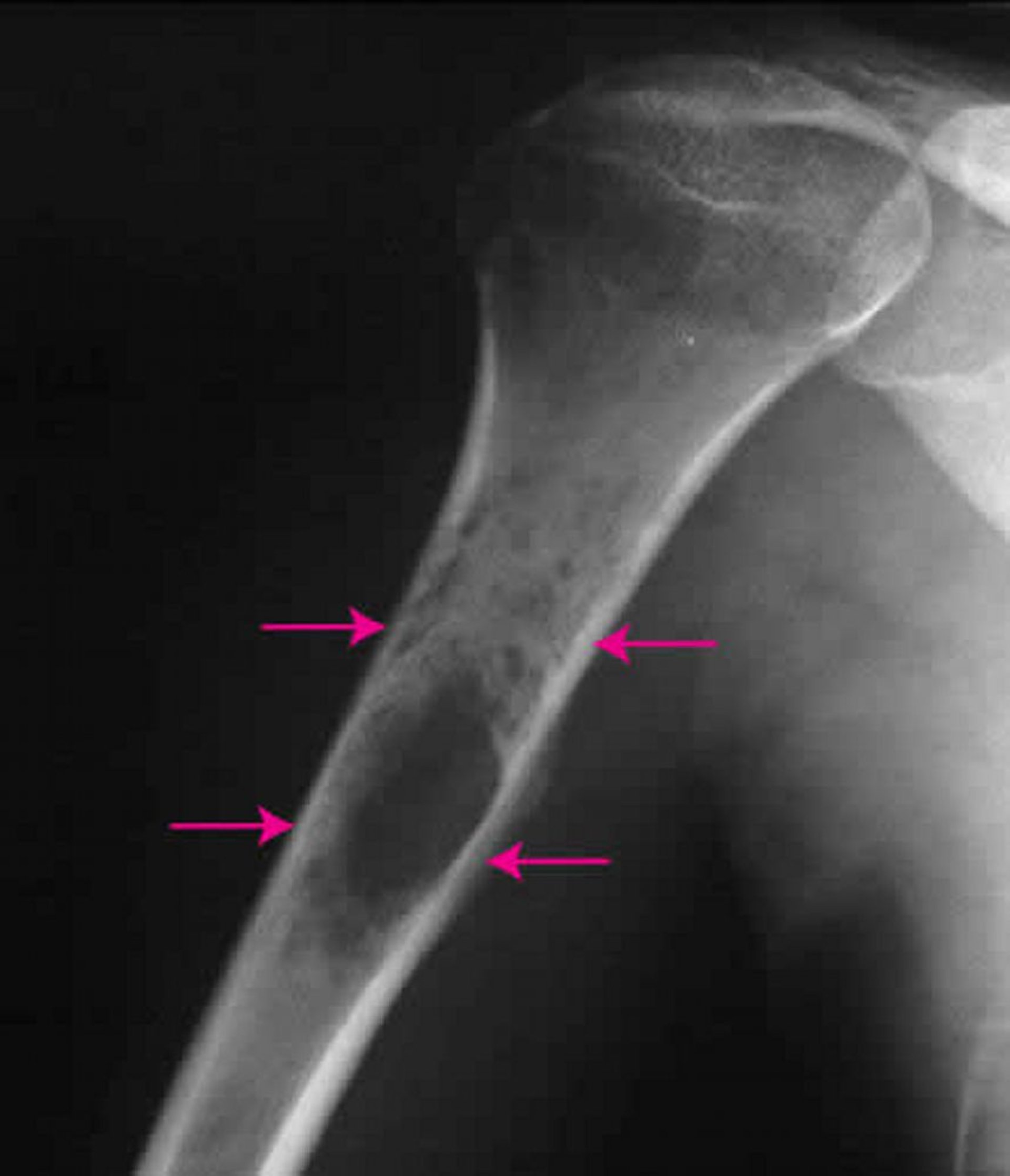
Auf dieser Röntgenaufnahme einer Schulter ist ein Ewing-Sarkom (Pfeile) im Oberarmknochen zu sehen.
Bild mit freundlicher Genehmigung von Dr. med. Michael J. Joyce und Dr. med. Hakan Ilaslan.
In diesen Themen
Auf dieser Röntgenaufnahme einer Schulter ist ein Ewing-Sarkom (Pfeile) im Oberarmknochen zu sehen.
Bild mit freundlicher Genehmigung von Dr. med. Michael J. Joyce und Dr. med. Hakan Ilaslan.