Glioblastoma
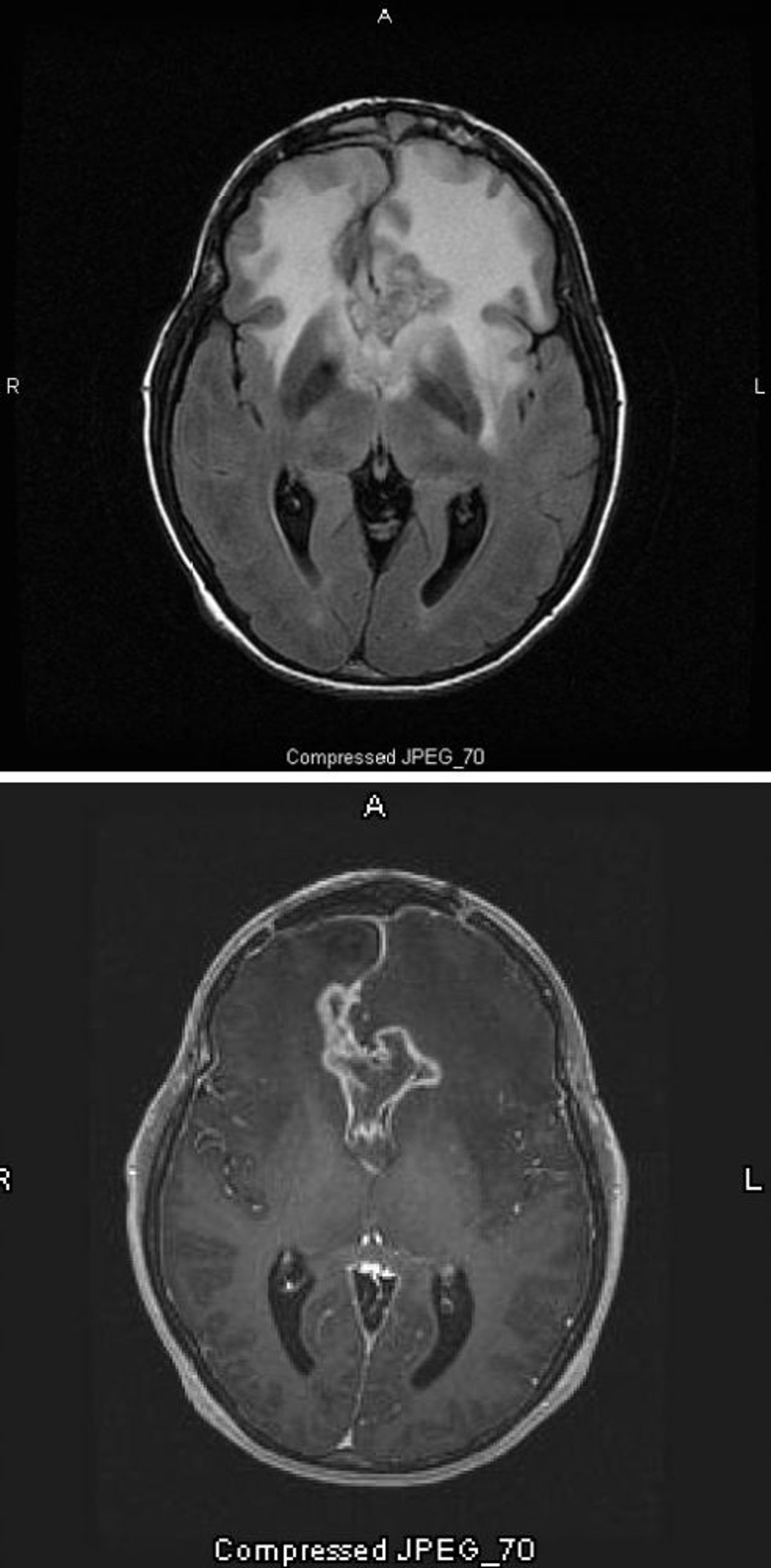
Die T2- (FLAIR [fluid-attenuating inversion recovery])-MRT-Aufnahme (oben) zeigt ein großes, bilaterales weißes Signal (Hyperdensität) um ein Glioblastom, das die höchste und bösartigste Form eines Astrozytoms darstellt. Dieses spezielle Glioblastom wird als Schmetterlingsgliom bezeichnet, weil das weiße Signal um den Tumor die Flügel eines Schmetterlings bildet; es wird durch ein Hirnödem verursacht. Auf dem T1-gewichteten Scan (unten) zeichnet der Kontrast den Rand des Tumors nach (Ringverstärkung). Das Ödem erscheint als dunkler Bereich (Hypointensität) auf T1.
Images courtesy of William R. Shapiro, MD.
In diesen Themen
