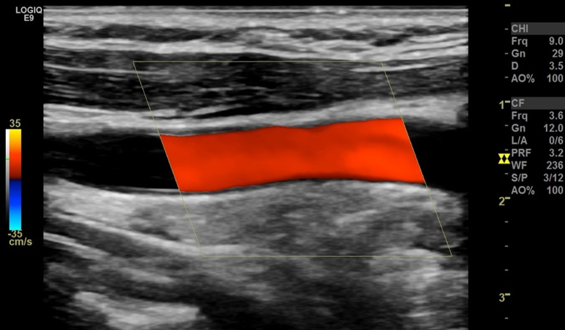
Farbkodierte Doppler-Sonografie der Halsschlagader (Carotis)
Der rote Streifen stellt den normalen, unbehinderten Blutfluss durch eine große Ader im Hals dar (Halsschlagader, Seitenansicht).
Aufnahme von Dr. med. Mustafa Mafraji (MD)
In diesen Themen
