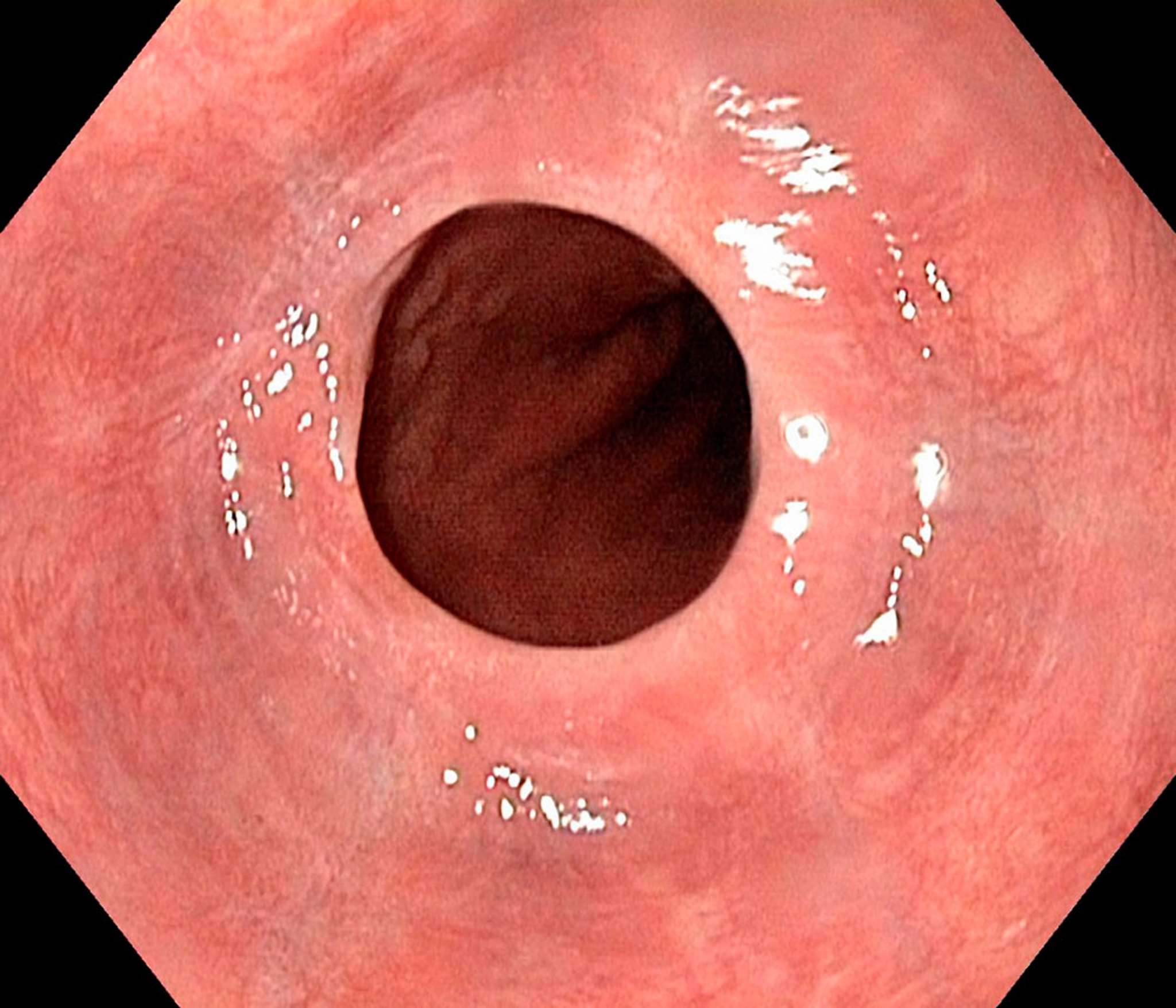
Esophageal Web
This photo shows a thin membrane partly across part of the opening of the esophagus.
GASTROLAB/SCIENCE PHOTO LIBRARY
في هذه الموضوعات
This photo shows a thin membrane partly across part of the opening of the esophagus.
GASTROLAB/SCIENCE PHOTO LIBRARY