تسوس الأسنان

تسوس الأسنان

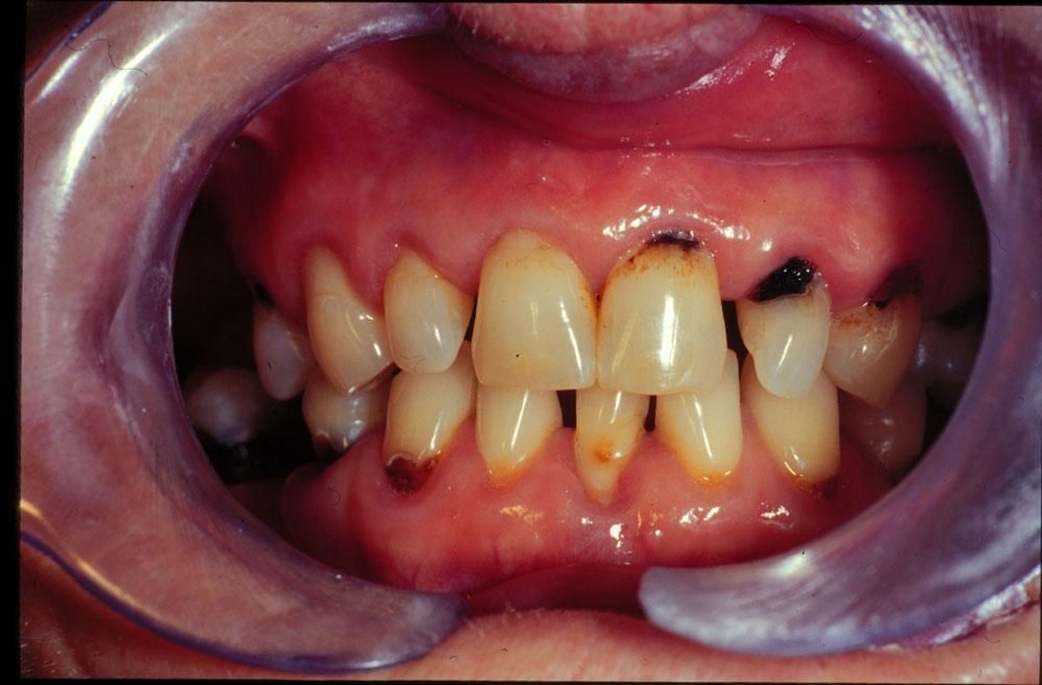
تُظهر هذه الصورة نخورًا سنية حديثة وناكسة عند شخص مصاب بجفاف في الفم.

Image provided by Jonathan A.Ship, DMD.

في هذه الموضوعات