الورم الغضروفي الزليلي
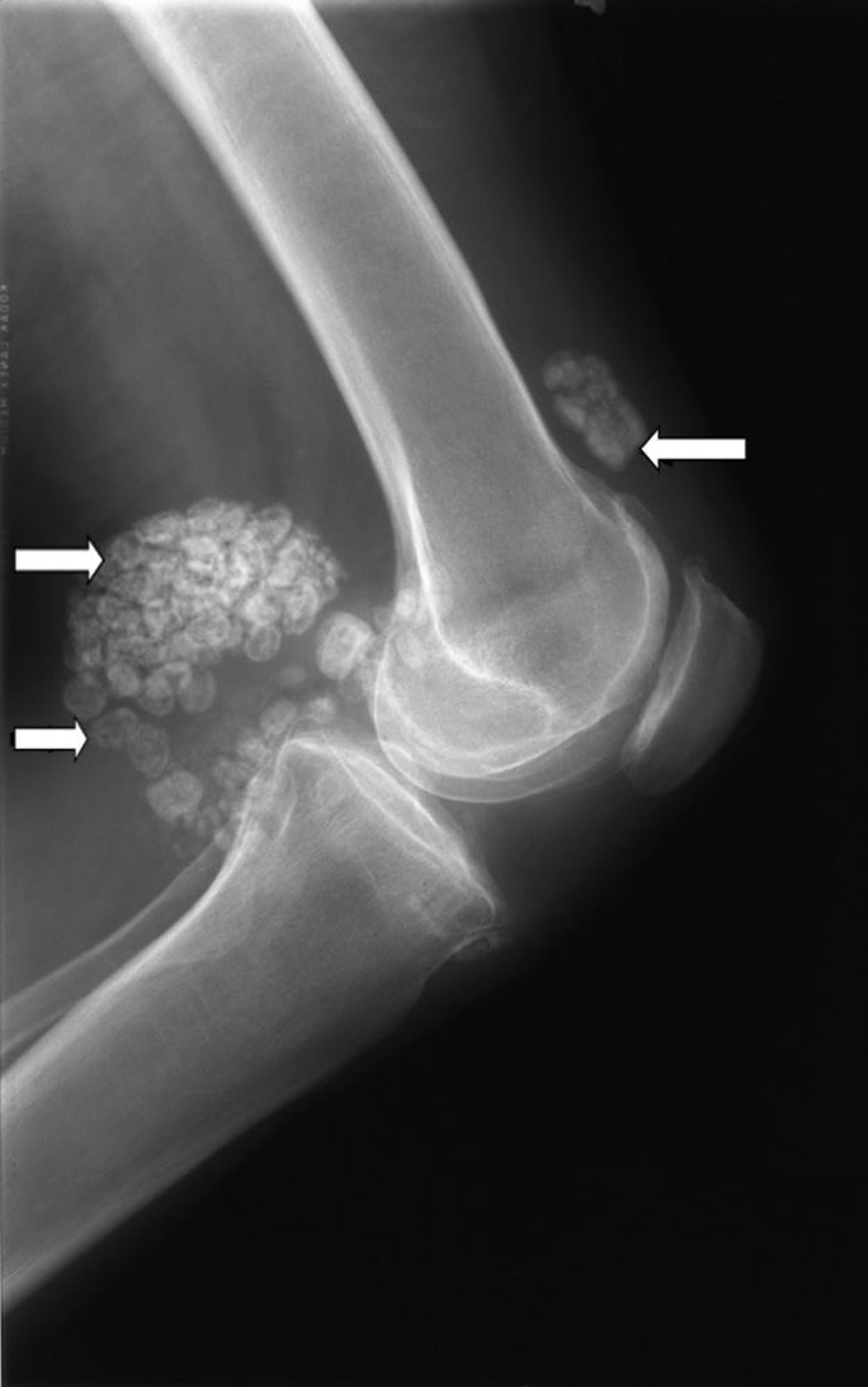
تُظهر هذه الصورة الشعاعية تجمعات متعددة من الغضاريف (اتجاه الأسهم) تُعرف باسم الأورام الغضروفية الزليلية.
جرى استخدام الصورة بعد موافقة أصحابها Michael J.Joyce, MD, and Hakan Ilaslan, MD.
في هذه الموضوعات
تُظهر هذه الصورة الشعاعية تجمعات متعددة من الغضاريف (اتجاه الأسهم) تُعرف باسم الأورام الغضروفية الزليلية.
جرى استخدام الصورة بعد موافقة أصحابها Michael J.Joyce, MD, and Hakan Ilaslan, MD.